n/ Adenokarzinom der Lunge

Diagnose
Adenokarzinom der Lunge
Diagnose Gruppe
maligner Tumor
Differenzialdiagnose
  • Reparatur und Regeneration
  • Chemotherapie und Bestrahlung
  • zytopathische Veränderungen
  • Mesothelien
  • metastatisches Adenokarzinom
Topographie Gruppe
Lunge, Mediastinum mit Thymus
Topographie
Lunge
Einleitung
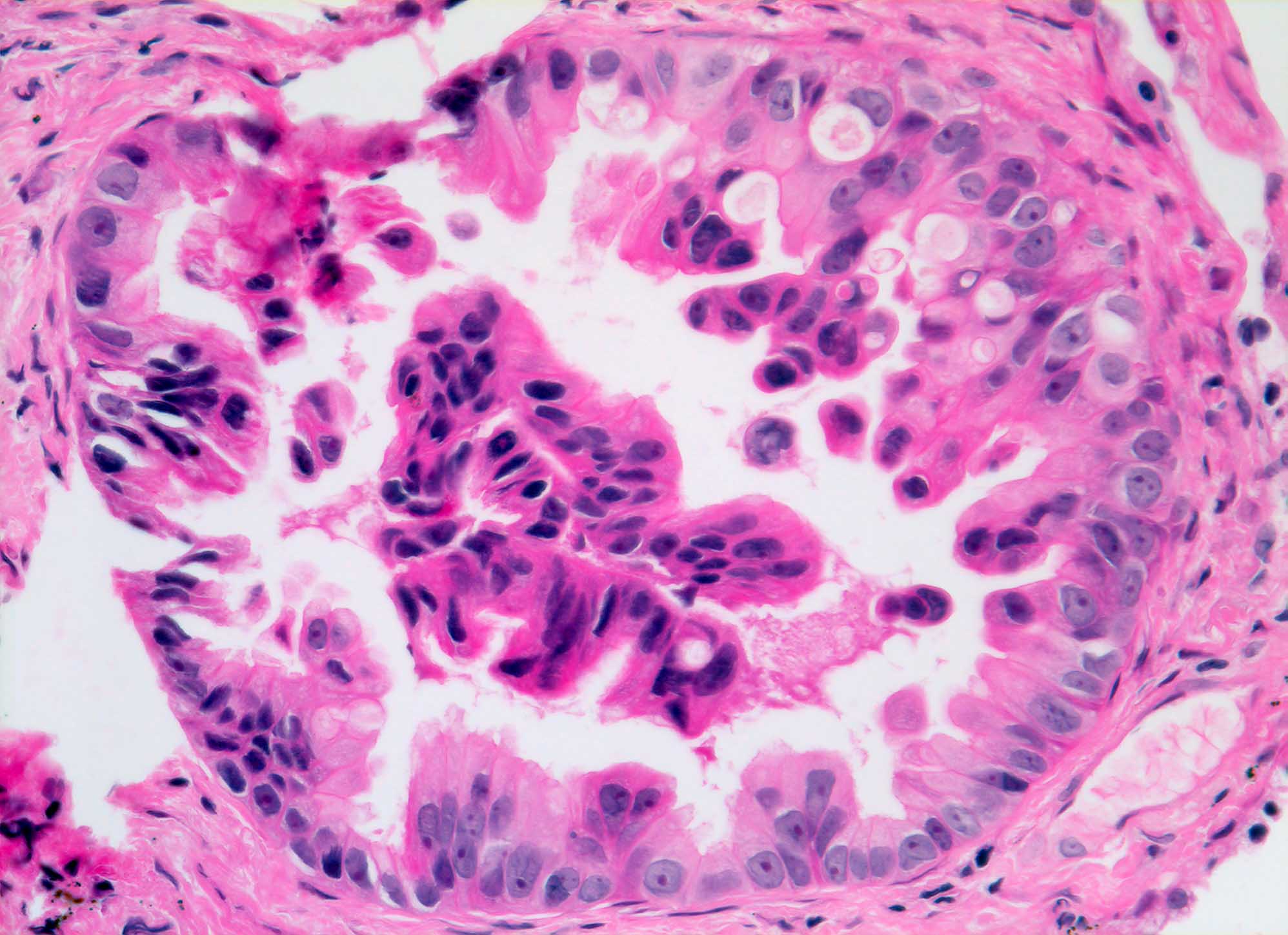
Bronchiale Adenokarzinome unterscheiden sich kaum von Adenokarzinomen anderer Primärlokalisation. Die Kerne sind vesikulär und rundlich. Die Kernmembran ist oft fein gekerbt. Die Kernhyperchromasie ist meist weniger ausgeprägt und die Chromatingranula sind weniger grob als beim Plattenepithelkarzinom oder beim kleinzelligen Karzinom. Die Kerne enthalten einen oder mehrere prominente Nukleolen. Das Zytoplasma kann Vakuolen mit oder ohne Schleim enthalten. Die Tumorzellen liegen in dreidimensionalen Verbänden, lockeren Haufen oder einzeln. Die verschiedenen Varianten des Adenokarzinoms lassen sich zytologisch nicht eindeutig unterscheiden. Je nach Differenzierungsgrad kann auch die Abgrenzung von einem Plattenepithelkarzinom oder einem grosszelligen Karzinom unmöglich sein. In solchen Fällen empfiehlt es sich, ein nicht kleinzelliges Karzinom zu diagnostizieren.
Unten werden drei verschiedene Beispiele eines Adenokarzinoms gezeigt.
Klinik
-
Normalbefund
Morphologie
Makroskopie
Virtuelles Präparat
Befund
Pathologischer Befund
Normalbefund
Literatur
Datum
Ersteintrag: 01.04.2003
Update: 01.04.2003