PathoPic – image database / PathoPic ID 5796 - Adenokarzinom

de
Diagnose
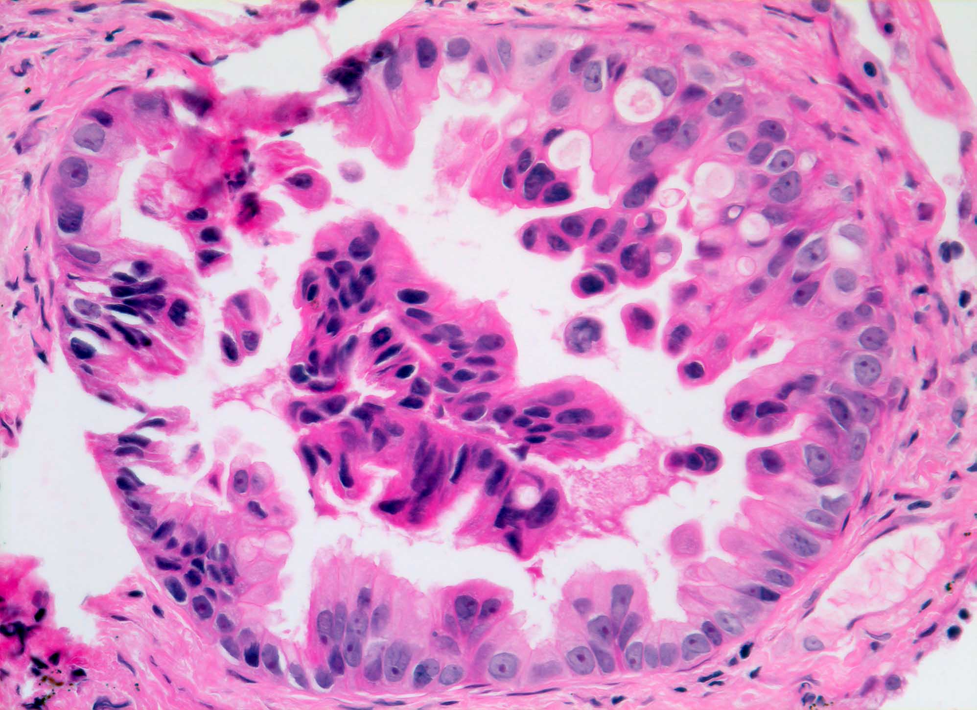
Adenokarzinom
Diagnose Gruppe
maligner Tumor
Topographie
Bronchus
Topographie Gruppe
Lunge, Mediastinum mit Thymus
Beschreibung
Drüse ausgekleidet von atypischem Epithel mit vergrösserten basalständigen Kernen.
Zusatzbefund
Autoptischer Nachweis eines primären Bronchuskarzinoms.
Klinik
Multiple Lungenrundherde.
Bilder Typ
Histologie
Vergrösserung
320
Alter
78
Geschlecht
unbekannt
Datum
Ersteintrag: 10.12.2002
Update: 17.02.2003