PathoPic – image database / PathoPic ID 5811 - Adenokarzinom

de
Diagnose
Adenokarzinom
Diagnose Gruppe
maligner Tumor
Topographie
Pleuraerguss Zytologie
Topographie Gruppe
Körperhöhlen, Serosa
Beschreibung
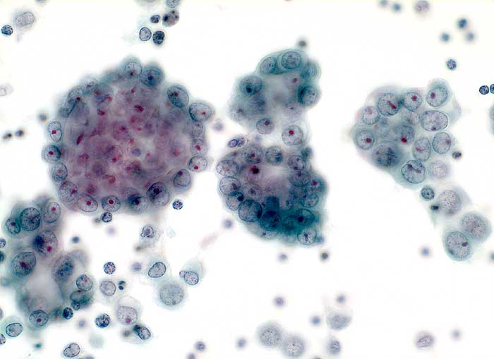
Pleuraerguss: massenhaft Zellen eines Adenokarzinoms in runden oder unregelmässig geformten dreidimensionalen Verbänden. Grosse vesikuläre Kerne mit leicht irregulärer Kernmembran und einem eosinophilen Makronukleolus. Mässig breites, teils vakuolisiertes Zytoplasma.
Klinik
Mittellappenresektion vor einem Jahr wegen Adenokarzinom der Lunge
Kommentar
Für ein Lungenkarzinom ist der Tumor auffallend monomorph. Es wurde aber kein anderer Primärtumor gefunden.
Bilder Typ
Zytologie
Vergrösserung
400
Alter
60
Geschlecht
unbekannt
Datum
Ersteintrag: 13.12.2002
Update: 17.02.2003