n/ Lungenmetastasen

Diagnose
Lungenmetastasen
Diagnose Gruppe
maligner Tumor
Differenzialdiagnose
Topographie Gruppe
Lunge, Mediastinum mit Thymus
Topographie
Lunge
Einleitung
Gezeigt werden Beispiele von Metastasen eines Mammakarzinoms, eines Nierenzellkarzinoms, eines malignen Melanoms und eines Seminoms.
Mammakarzinomzellen im Bronchialsekret liegen oft dicht vermischt mit Flimmerzellen, was auf eine Lymphangiosis carcinomatosa hinweist. Die wenig atypischen Tumorzellen sind dabei kaum von den Zellkernen der Flimmerzellen zu unterscheiden.
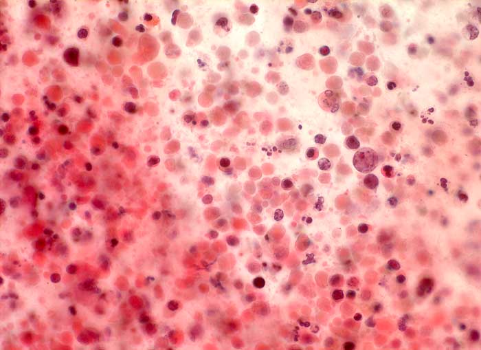
Die runden Kerne des hellzelligen Nierenzellkarzinoms enthalten einen auffallenden grossen Nukleolus, das Kernchromatin ist fein granulär und hell. Das Zytoplasma ist vakuolisiert und blass.
Melanomzellen liegen einzeln oder in pseudoepithelialen Verbänden. Pigmentgranula und plumpe sehr grosse Nukleolen weisen auf das Melanom hin.
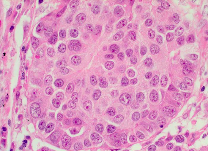
Die Tumorzellen von Keimzelltumoren besitzen ebenfalls meist auffallende Nukleolen. Seminomzellen sind quetschempfindlich und zytoplasmaarm.
Klinik
-
Normalbefund
Morphologie
Makroskopie
Virtuelles Präparat
Befund
Pathologischer Befund
Normalbefund
Literatur
Datum
Ersteintrag: 01.04.2003
Update: 01.04.2003