PathoPic – image database / PathoPic ID 5730 - Seminommetastase

de
Diagnose
Seminommetastase
Diagnose Gruppe
maligner Tumor
Topographie
Lunge
Topographie Gruppe
Lunge, Mediastinum mit Thymus
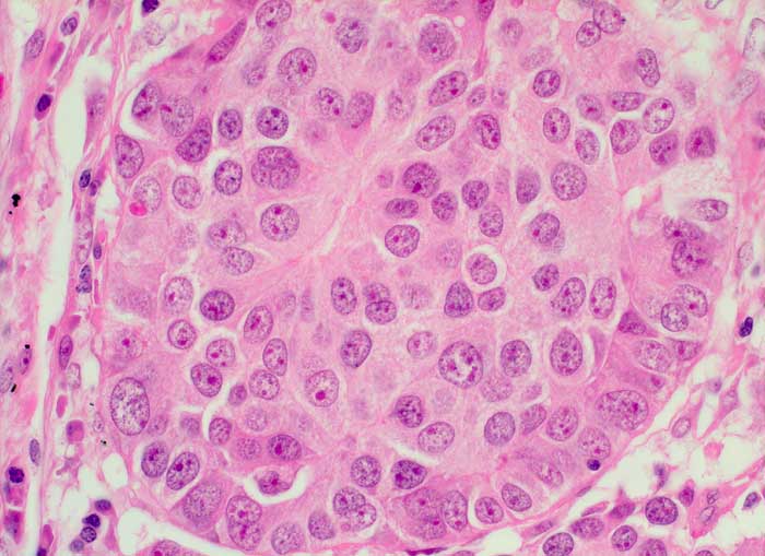
Beschreibung
Solide, scharf begrenzte Tumorzellnester. Grosse, polygonale scharf begrenzte Tumorzellen mit reichlich eosinophilem Zytoplasma und hyperchromatischen Kernen mit prominenten Nukleoli.
Klinik
Lungenrundherd. Status nach Semikastration wegen Seminom.
Bilder Typ
Histologie
Vergrösserung
400
Alter
42
Geschlecht
männlich
Datum
Ersteintrag: 29.11.2002
Update: 17.02.2003