PathoPic – image database / PathoPic ID 5727 - Seminommetastase

de
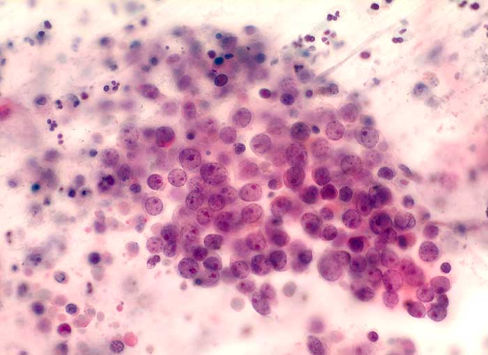
Diagnose
Seminommetastase
Diagnose Gruppe
maligner Tumor
Topographie
Sputum
Topographie Gruppe
Lunge, Mediastinum mit Thymus
Beschreibung
Zahlreiche nekrotische Zellen und granulozytär entzündliches Zellbild im Hintergrund. Die vitalen Zellen erscheinen oft nacktkernig. Die vesikulären Kerne sind gross, rundlich und enthalten im Gegensatz zum kleinzelligen und grosszellig neuroendokrinen Karzinom grosse plumpe Nukleolen.
Klinik
Lungenrundherd. Status nach Semikastration wegen Seminom.
Bilder Typ
Zytologie
Vergrösserung
400
Alter
42
Geschlecht
männlich
Datum
Ersteintrag: 29.11.2002
Update: 17.02.2003