n/ Maligner Aszites: Seröses Ovarialkarzinom

Diagnose
Maligner Aszites: Seröses Ovarialkarzinom
Diagnose Gruppe
maligner Tumor
Differenzialdiagnose
Topographie Gruppe
Körperhöhlen, Serosa
Topographie
Aszites
Einleitung
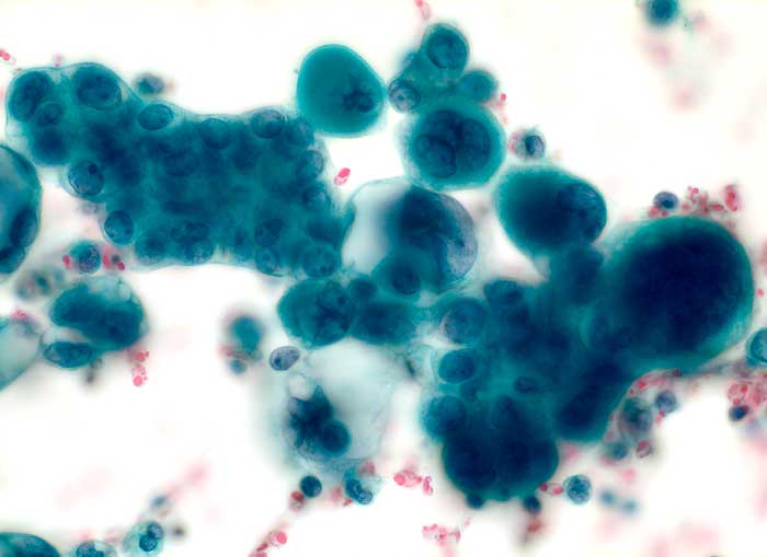
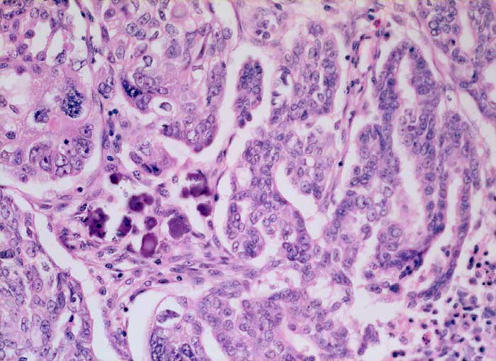
Beim serösen Zystadenokarzinom des Ovars findet man oft scheinbar zwei Tumorzellpopulationen (Dimorphismus). Das heisst, die Karzinome sind heterogen aufgebaut und weisen nebeneinander einige grosse vakuolisierte Zellen und kleinere kubische Zellen im gleichen Zellverband auf. Sehr typisch, aber nicht beweisend für einen serös papillären Tumor ist der Nachweis von Psammomkörperchen.
Unten sind zwei Fälle abgebildet. Der erste mit histologischer Korrelation.
Klinik
-
Normalbefund
Morphologie
Makroskopie
Virtuelles Präparat
Befund
Pathologischer Befund
Normalbefund
Literatur
Datum
Ersteintrag: 13.04.2003
Update: 13.04.2003