PathoPic – image database / PathoPic ID 6027 - serös papilläres Ovarialkarzinom

de
Schweregrad
Diagnose
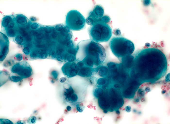
serös papilläres Ovarialkarzinom
Diagnose Gruppe
maligner Tumor
Topographie
Aszites
Topographie Gruppe
Körperhöhlen, Serosa
Beschreibung
Aszitespunktat: Deutlich ausgeprägter Dimorphismus mit einer Population kleiner Tumorzellen mit geringen Atypien und einer zweiten Population sehr grosser Tumorzellen mit starken Atypien.
Kommentar
Zytologische Diagnose: Zahlreiche Zellen eines Adenokarzinoms.
Der zytologische Befund lässt am ehesten an ein Ovarialkarzinom denken.
Bilder Typ
Zytologie
Vergrösserung
400
Alter
84
Geschlecht
unbekannt
Datum
Ersteintrag: 14.01.2003
Update: 01.04.2003