PathoPic – image database / PathoPic ID 5949 - serös papilläres Ovarialkarzinom

de
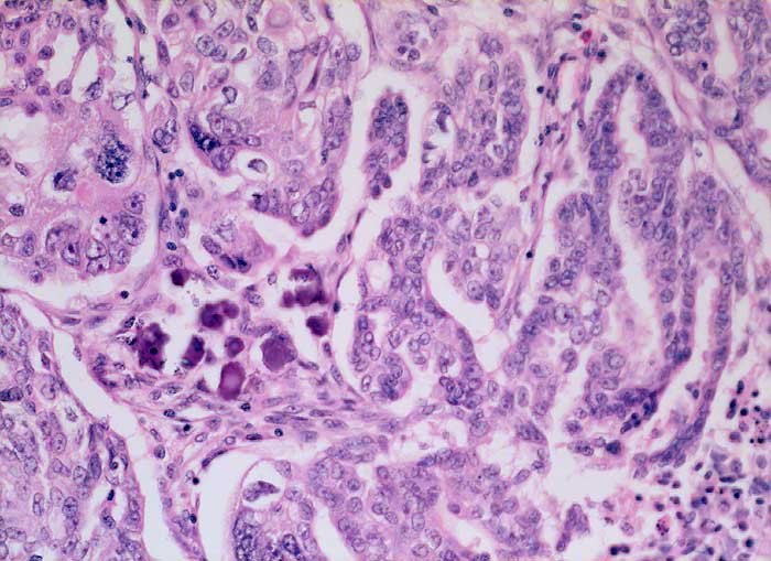
Diagnose
serös papilläres Ovarialkarzinom
Diagnose Gruppe
maligner Tumor
Topographie
Netz gross
Topographie Gruppe
Knochen, Knorpel, Gelenke
Beschreibung
Papilliforme und solide Tumormassen mit unterschiedlich grossen Tumorzellen und ausgeprägten Kernatypien entsprechend einem wenig differenzierten Karzinom. Psammomkörperchen.
Klinik
Maligner Aszites. V.a. Ovarial-Ca.
Bilder Typ
Histologie
Vergrösserung
200
Alter
57
Geschlecht
unbekannt
Datum
Ersteintrag: 06.01.2003
Update: 17.02.2003