n/ Maligner Aszites: lobuläres Mammakarzinom

Diagnose
Maligner Aszites: lobuläres Mammakarzinom
Diagnose Gruppe
maligner Tumor
Differenzialdiagnose
Topographie Gruppe
Körperhöhlen, Serosa
Topographie
Aszites
Einleitung
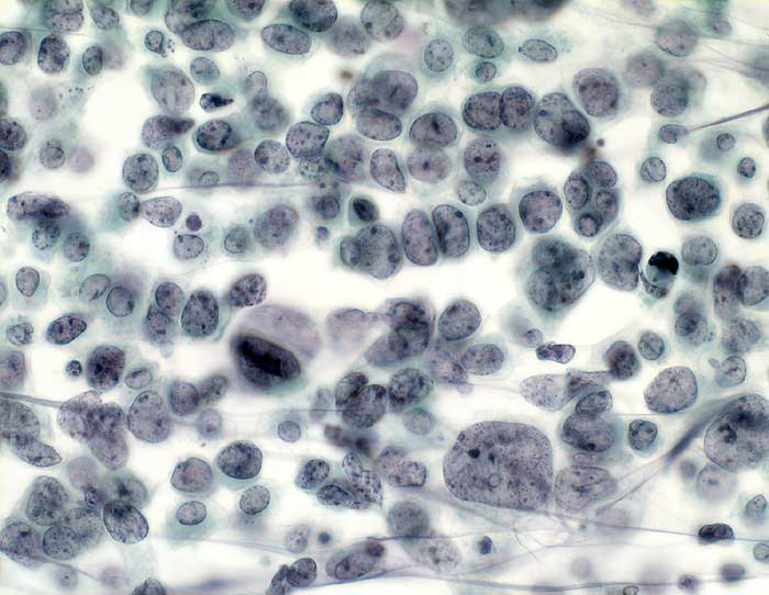
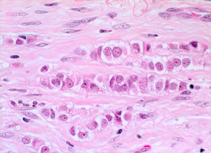
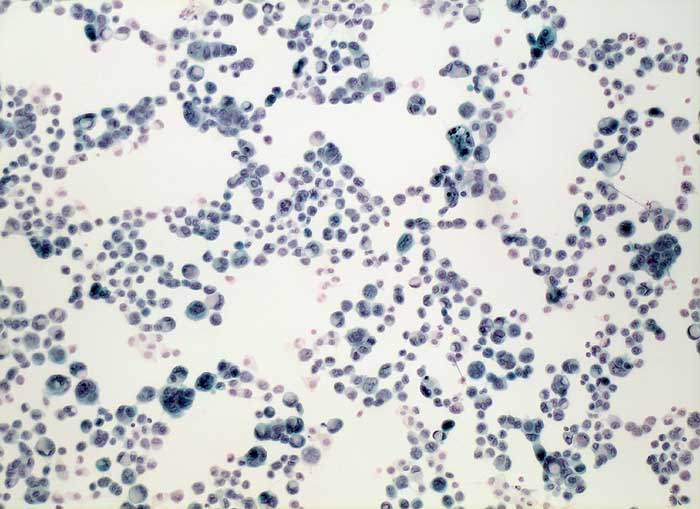
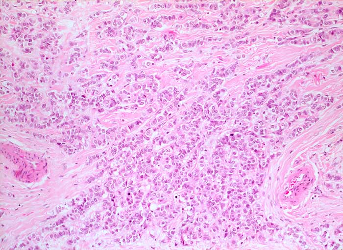
Lobuläre Mammakarzinome sind im Gegensatz zu den invasiv duktalen Karzinomen im Erguss viel weniger leicht erkennbar. Die Tumorzellen sind etwa so gross wie Mesothelien oder Makrophagen. Sie liegen einzeln oder in kleinen Gruppen und bilden zeilenförmige Verbände. Ihre Kerne sind hyperchromatisch, diskret entrundet oder gekerbt und auch von der Kernstruktur her kaum von Mesothelien oder Makrophagen unterscheidbar. Unten werden zwei verschiedene Fälle gezeigt. Der erste Fall zusätzlich mit histologischer Korrelation.
Klinik
-
Normalbefund
Morphologie
Makroskopie
Virtuelles Präparat
Befund
Pathologischer Befund
Normalbefund
Literatur
Datum
Ersteintrag: 01.04.2003
Update: 01.04.2003