Diagnose
invasiv lobuläres Mammakarzinom
Diagnose Gruppe
maligner Tumor
Beschreibung
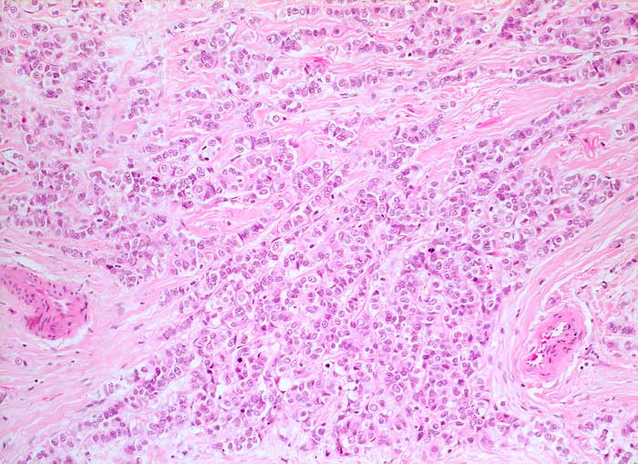
Die monomorphen Tumorzellen sind in Einerreihen angeordnet. Zwischen den Zellreihen desmoplastisches Stroma.
Klinik
Metastasierendes Mammakarzinom
Datum
Ersteintrag: 03.01.2003
Update: 17.02.2003