PathoPic – image database / PathoPic ID 5904 - invasiv lobuläres Mammakarzinom

de
Diagnose
invasiv lobuläres Mammakarzinom
Diagnose Gruppe
maligner Tumor
Topographie
Mamma
Topographie Gruppe
Mamma
Beschreibung
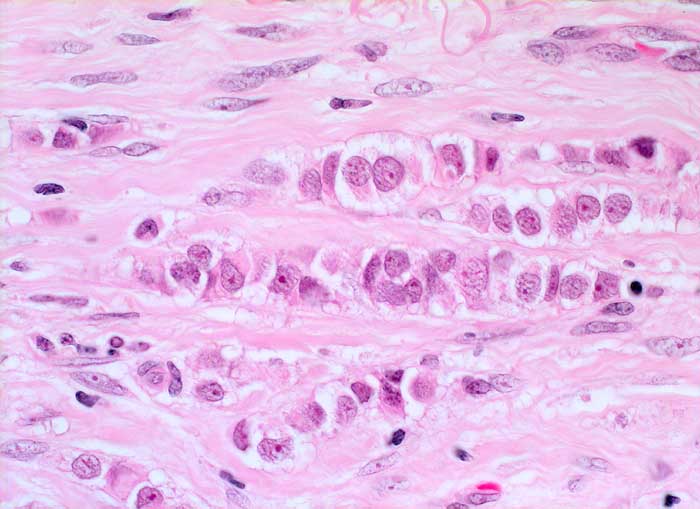
Die monomorphen Tumorzellen sind in gänsemarschartigen Einerreihen angeordnet.
Klinik
Metastasierendes Mammakarzinom
Bilder Typ
Histologie
Vergrösserung
400
Alter
66
Geschlecht
unbekannt
Datum
Ersteintrag: 03.01.2003
Update: 17.02.2003