n/ Chondrosarkom

Diagnose
Chondrosarkom
Diagnose Gruppe
maligner Tumor
Differenzialdiagnose
Topographie Gruppe
Lunge, Mediastinum mit Thymus
Topographie
Bronchialsekret
Einleitung
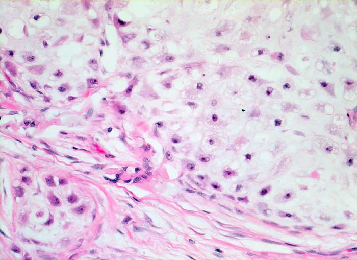
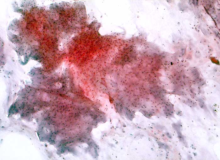
Die Zytologie des Chondrosarkoms ist charakterisiert durch neoplastische Chondrozyten auf einem Hintergrund von chondroider Matrix. Maligne Chondrozyten sind oval oder polygonal. Die Zellen sind locker kohäsiv oder liegen einzeln. Die Tumorzellen sind gelegentlich in Lakunen der hyalinen Matrix eingeschlossen. Vakuolisiertes oder granuläres Zytoplasma ist reichlich vorhanden. Die Kerne sind uniform, rund bis oval und können prominente Nukleolen enthalten. Zellreichtum, Kernatypien, Mehrkernigkeit und Mitosefiguren nehmen zu mit zunehmendem Tumorgrad. Bei den hochmalignen Chondrosarkomen enthalten die zellreichen Ausstriche fast ausschliesslich myxoide Matrix, die sich in der PAP Färbung schwach, in der MGG Färbung deutlich anfärbt.
Die verschiedenen Subtypten des Chondrosarkoms sind zytologisch wegen fliessender Übergänge nicht sicher zu unterscheiden. Die Kombination hohes Patientenalter, radiologische Zeichen eines destruktiven Wachstums, hohe Zellularität und Kernpolymorphie lassen bei knorpelbildenden Tumoren auf Malignität schliessen.
Klinik
-
Normalbefund
Morphologie
Makroskopie
Virtuelles Präparat
Befund
Pathologischer Befund
Normalbefund
Literatur
Datum
Ersteintrag: 01.04.2003
Update: 01.04.2003