PathoPic – image database / PathoPic ID 5780 - Chondrosarkom

de
Diagnose
Chondrosarkom
Diagnose Gruppe
maligner Tumor
Topographie
Weichteile Rumpf
Topographie Gruppe
Weichteile
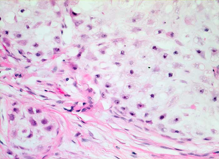
Beschreibung
Das Sarkom ist deutlich zellreicher als normaler Knorpel und die Tumorzellen sind deutlich vergrössert, aber noch gut als Knorpelzellen erkennbar.
Zusatzbefund
Makroskopischer Befund des Thoraxwandteilresektates: halbkugeliger Tumor (7,5x7x3,6cm). Auf Schnitt findet sich ein gallertiger, teils knorpeliger Tumor mit Nekrosen und Einblutungen. Tumor durch die beiden mittleren Rippen durchtretend.
Klinik
Brustwandtumor parasternal rechts Teils extra-, vorwiegend intrathorakal
Bilder Typ
Histologie
Vergrösserung
200
Alter
70
Geschlecht
männlich
Datum
Ersteintrag: 10.12.2002
Update: 17.02.2003