PathoPic – image database / PathoPic ID 5757 - Chondrosarkom

de
Diagnose
Chondrosarkom
Diagnose Gruppe
maligner Tumor
Topographie
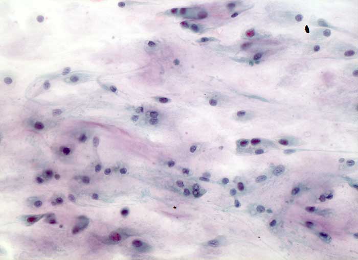
Bronchialsekret
Topographie Gruppe
Lunge, Mediastinum mit Thymus
Beschreibung
Bronchialsekret: reichlich wolkiges, zum Teil auch angedeutet fein fibrilläres basophiles bis eosinophiles Material. In diesem zahlreiche atypische Chondrozyten. Diese besitzen unterschiedlich grosse Kerne.
Zusatzbefund
Histologische Diagnose: Ueberwiegend hoch differenziertes Chondrosarkom (Chondrosarkom Grad I bis II) der rechten Thoraxwand mit Infiltration der dorsalen, pulmonalseitigen Resektionsfläche
Klinik
Brustwandtumor parasternal rechts Teils extra-, vorwiegend intrathorakal
Bilder Typ
Zytologie
Vergrösserung
200
Alter
70
Geschlecht
männlich
Datum
Ersteintrag: 03.12.2002
Update: 17.02.2003