n/ Toxoplasmose Enzephalitis

Diagnose
Toxoplasmose Enzephalitis
Diagnose Gruppe
Entzündung infektiös
Differenzialdiagnose
Topographie Gruppe
Nervensystem
Topographie
Thalamus
Einleitung
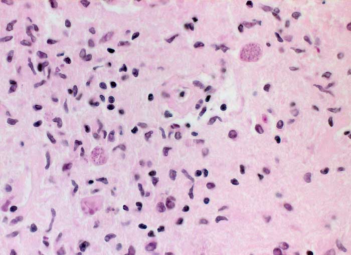
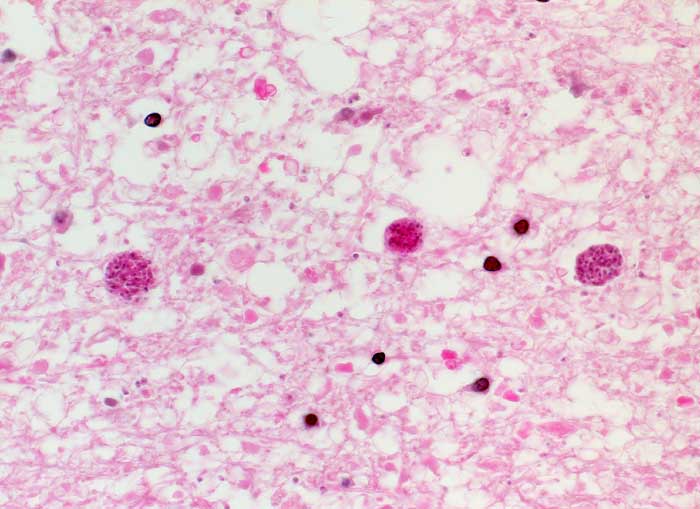
Abstriche von infiziertem Hirngewebe zeigen kleine Gruppen degenerierter glialer Zellen und Histiozyten. Die definitive Diagnose einer Toxoplasmose basiert auf dem Nachweis von Toxoplasma Trophozoiten oder Pseudozysten. Die typischen Trophozoiten sind bananenförmige Strukturen, die etwa 4 bis 8 Mikrometer lang sind. Es ist wichtig, dass man den Kern der Trophozoiten erkennt, da Gewebsfragmente oder Detritus bananenförmig sein können und so möglicherweise zur Fehldiagnose einer Toxoplasmose verleiten. In Zweifelsfällen kann eine Immunzytochemie durchgeführt werden.
Klinik
-
Normalbefund
Morphologie
Makroskopie
Virtuelles Präparat
Befund
Pathologischer Befund
Normalbefund
Literatur
Datum
Ersteintrag: 13.04.2003
Update: 13.04.2003