PathoPic – image database / PathoPic ID 5959 - Toxoplasma Enzephalitis

de
Diagnose
Toxoplasma Enzephalitis
Diagnose Gruppe
Entzündung infektiös
Topographie
Thalamus
Topographie Gruppe
Nervensystem
Beschreibung
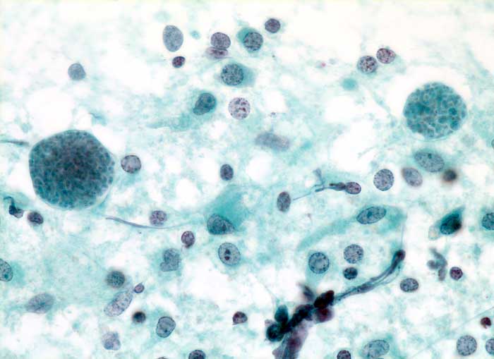
Thalamus, Frischgewebsabstrich: erregerhaltige Gewebezysten, aktivierte Gliazellen und Entzündungszellen.
Zusatzbefund
Immunhistochemisch zeigen sich inmitten der chronischen Parenchymentzündung vereinzelte Pseudozysten mit stark immunoreaktiven Erregern. Ausserhalb dieser Pseudozysten, oft in kleinen Gruppen angeordnet, findet man auch stark immunoreaktive Toxoplasmen.
Klinik
Kontrastmittel anreichernder Tumor im Thalamus rechts
Bilder Typ
Zytologie
Vergrösserung
500
Alter
47
Geschlecht
männlich
Datum
Ersteintrag: 06.01.2003
Update: 19.02.2003