PathoPic – image database / PathoPic ID 6187 - Toxoplasma Enzephalitis

de
Diagnose
Toxoplasma Enzephalitis
Diagnose Gruppe
Entzündung infektiös
Topographie
Thalamus
Topographie Gruppe
Nervensystem
Beschreibung
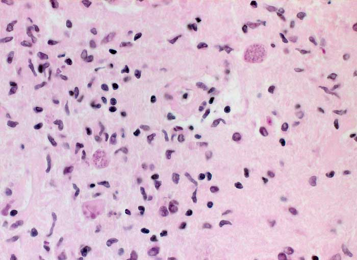
Thalamus: Marklager mit Nachweis einer subakuten lymphoplasmazellulären Entzündung und zwei Gewebezysten von Toxoplasma gondii, angefüllt mit massenhaft Erregern.
Klinik
Kontrastmittel anreichernder Tumor im Thalamus rechts
Kommentar
Der Erreger der Toxoplasmose, Toxoplasma gondii, ist ein obligat intrazellulärer Einzeller, der im Menschen in zwei Differenzierungsformen vorkommt: als schnell replikative Tachyzoiten, die mit der akuten Phase der Infektion assoziiert sind und als chronische Dauerformen (Bradyzoiten), die in Zystenform vor allem im Gehirn lokalisiert sind. Eine Reaktivierung der chronischen Infektion in stark immungeschwächten Patienten kann zu dem schweren Krankheitsbild der toxoplasmatischen Enzephalitis führen.
Bilder Typ
Histologie
Vergrösserung
400
Alter
47
Geschlecht
männlich
Datum
Ersteintrag: 27.01.2003
Update: 28.03.2003