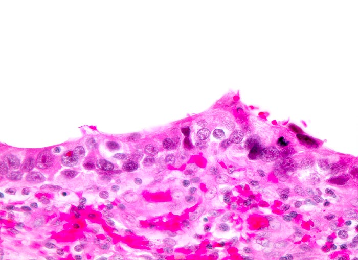
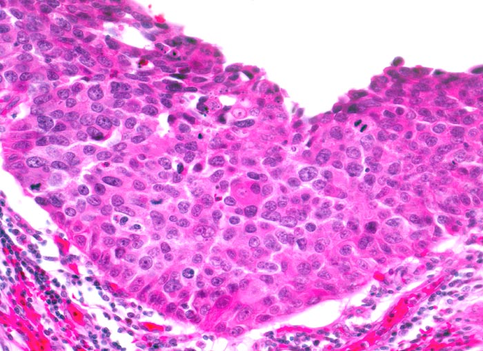
n/ Carcinoma in situ des Urothels

Diagnose
Carcinoma in situ des Urothels
Diagnose Gruppe
Präneoplasie/ Atypie/ Dignität?
Differenzialdiagnose
Topographie Gruppe
Niere, Harnwege
Topographie
Harnblasenspülflüssigkeit
Einleitung
Der Urin ist auffallend zellreich. Die Zellen des Carcinoma in situ sind hochgradig atypisch und liegen einzeln oder in Verbänden von 5 bis 15 Zellen. Die Kerne sind hyperchromatisch und das Chromatin ist stark vergröbert. Die Zellmorphologie entspricht einem Urothelkarzinom Grad 3. Im Gegensatz zum invasiven oftmals ulzerierten Karzinom ist der Hintergrund aber nicht detritisch.
Klinik
-
Normalbefund
Morphologie
Makroskopie
Virtuelles Präparat
Befund
Pathologischer Befund
Normalbefund
Literatur
Datum
Ersteintrag: 01.04.2003
Update: 01.04.2003