PathoPic – image database / PathoPic ID 3629 - Carcinoma in situ des Urothels

de
Diagnose
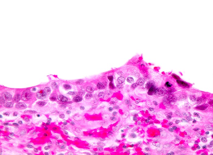
Carcinoma in situ des Urothels
Diagnose Gruppe
Präneoplasie/ Atypie/ Dignität?
Topographie
Harnblase
Topographie Gruppe
Niere, Harnwege
Beschreibung
Verschmälertes Urothel. Deutlich ausgeprägte Zellkernpolymorphie. Starke Vergösserung der hyperchromatischen Kerne mit Verschiebung der Kern-Zytoplasmarelation.
Zusatzbefund
Invasives Plattenepithelkarzinom der Harnblase.
Bilder Typ
Histologie
Vergrösserung
320
Alter
72
Geschlecht
unbekannt
Datum
Ersteintrag: 27.12.2001