PathoPic – image database / PathoPic ID 3157 - Atypische Urothelzellen Grad 3 (Urothelkarzinom)

de
Diagnose
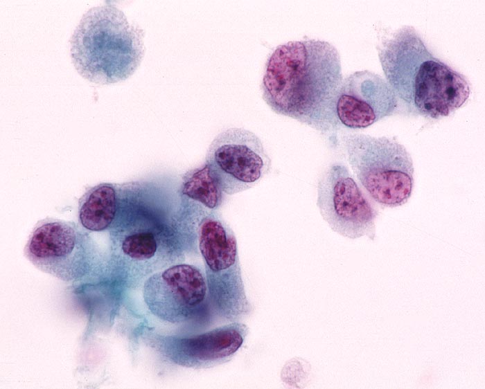
Atypische Urothelzellen Grad 3 (Urothelkarzinom)
Diagnose Gruppe
maligner Tumor
Topographie
Harnblasenspülflüssigkeit
Topographie Gruppe
Niere, Harnwege
Beschreibung
Der Ausstrichhintergrund ist detritisch und enthält zahlreiche hochgradig atypische Urothelien mit ausgeprägter Kernvergrösserung und starker Kernpolymorphie.
Klinik
Papillärer Blasentumor (Status nach Koagulation).
Kommentar
-
Bilder Typ
Zytologie
Vergrösserung
1000
Alter
72
Geschlecht
männlich
Datum
Ersteintrag: 21.03.2002