n/ Pyelonephritis

Diagnose
Pyelonephritis
Diagnose Gruppe
Entzündung infektiös
Differenzialdiagnose
Topographie Gruppe
Niere, Harnwege
Topographie
Urin spontan
Einleitung
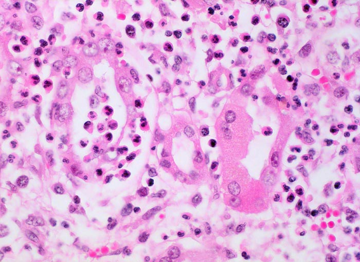
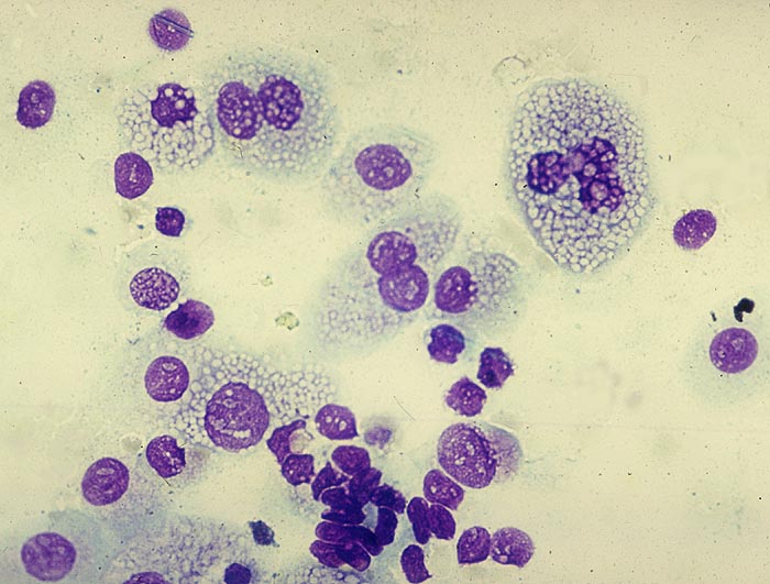
Infektiös eitrige Entzündungen der Niere sind erkennbar an einer Leukozyturie und Granulozytenzylindern. Gelegentlich können eosinophile Granulozyten auftreten.
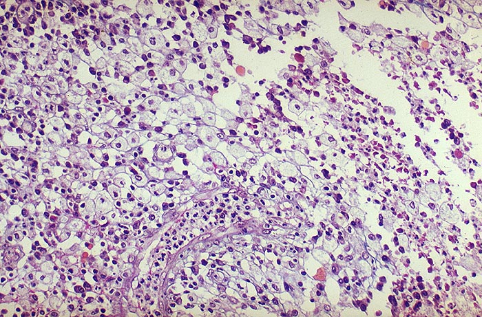
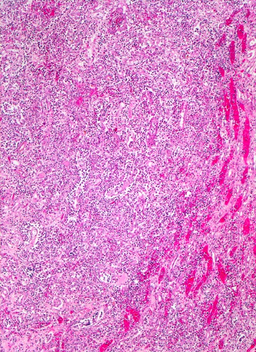
Bei der Sonderform der xanthogranulomatösen Pyelonephritis ist das Urinsediment oft stark hämorrhagisch und entzündlich verändert und kann Schaumzellen enthalten. Der erste Fall zeigt eine akute eitrige Pyelonephritis. Der zweite Fall eine xanthogranulomatöse Pyelonephritis.
Klinik
-
Normalbefund
Morphologie
Makroskopie
Virtuelles Präparat
Befund
Pathologischer Befund
Normalbefund
Literatur
Datum
Ersteintrag: 01.04.2003
Update: 01.04.2003