PathoPic – image database / PathoPic ID 2450 - Xanthogranulomatöse Pyelonephritis

de
Diagnose
Xanthogranulomatöse Pyelonephritis
Diagnose Gruppe
Entzündung infektiös
Topographie
Niere
Topographie Gruppe
Niere, Harnwege
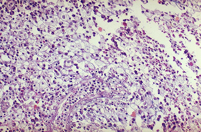
Beschreibung
Typische Schaumzellen (Xanthomzellen) aus dem Granulationsgewebewall. Zwischen den Schaumzellen auch Lymphozyten-Plasmazellen sowie gelapptkernige Leukozyten.
Kommentar
Stets einseitige Pyelonephritis mit typischer Trias:
1. Obstruktion der ableitenden Harnwege zumeist durch Phosphatsteine
2. Coli oder Proteusinfekt
3. Störung der Leukozytenfunktion. Kommen tuberkuloide Granulome vor, wird fälschlicherweise oft eine Tuberkulose diagnostiziert. Bei Tuberkulose aber nie Schaumzellen. Die Malakoplakie der Niere ist im Gegensatz zur xanthogranulomatösen Pyelonephritis stets beidseitig.
Bilder Typ
Histologie
Alter
27
Geschlecht
unbekannt
Datum
Ersteintrag: 07.03.2002