PathoPic – image database / PathoPic ID 2454 - Xanthogranulomatöse Pyelonephritis: lipidhaltige Schaumzellen

de
Diagnose
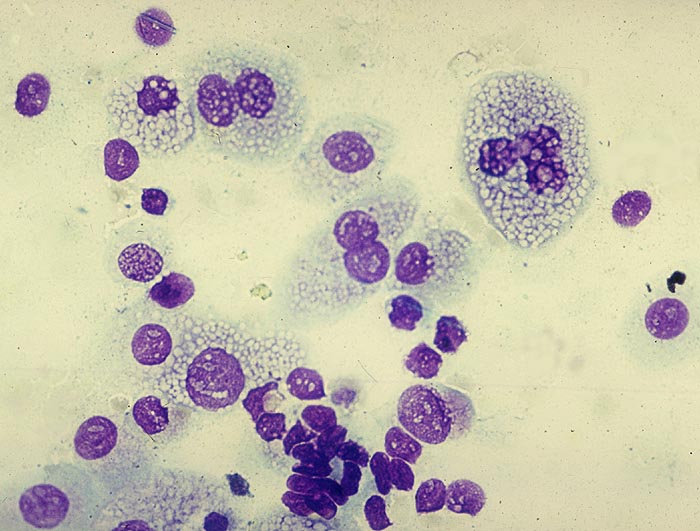
Xanthogranulomatöse Pyelonephritis: lipidhaltige Schaumzellen
Diagnose Gruppe
Entzündung infektiös
Topographie
Harnblasenspülflüssigkeit
Topographie Gruppe
Niere, Harnwege
Beschreibung
Lipidhaltige Schaumzellen mit vakuolisiertem Zytoplasma.
Kommentar
Stets einseitige Pyelonephritis mit typischer Trias:
1. Obstruktion der ableitenden Harnwege zumeist durch Phosphatsteine
2. Coli oder Proteusinfekt
3. Störung der Leukozytenfunktion. Kommen tuberkuloide Granulome vor, wird fälschlicherweise oft eine Tuberkulose diagnostiziert. Bei Tuberkulose aber nie Schaumzellen. Die Malakoplakie der Niere ist im Gegensatz zur xanthogranulomatösen Pyelonephritis stets beidseitig.
Bilder Typ
Zytologie
Geschlecht
weiblich
Datum
Ersteintrag: 07.03.2002