n/ Hellzelliges Nierenzellkarzinom, Urin

Diagnose
Hellzelliges Nierenzellkarzinom, Urin
Diagnose Gruppe
maligner Tumor
Differenzialdiagnose
Topographie Gruppe
Niere, Harnwege
Topographie
Harnblasenspülflüssigkeit
Einleitung
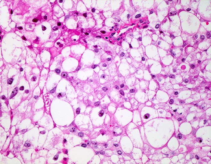
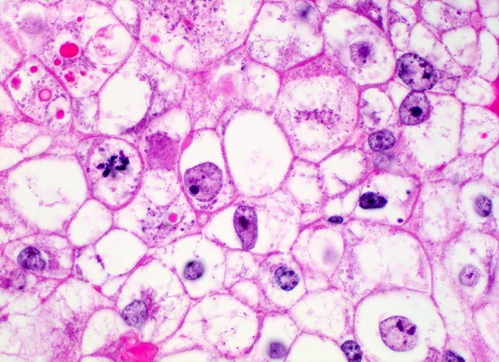
Typisch für das Nierenzellkarzinom sind relative grosse ein- oder mehrkernige atypische Zellen mit exzentrisch gelegenem Zellkern, plumpen Nukleolen und vakuolisiertem Zytoplasma. Der zytologische Nachweis wird dadurch erschwert, dass die Zellen auf ihrem Weg in die Harnblase degenerieren. Der Kern ist oftmals pyknotisch und das Zytoplasma in Auflösung und eosinophil granuliert. Differentialdiagnostisch muss an Tubulus- oder Sammelrohrepithelien gedacht werden.
Klinik
-
Normalbefund
Morphologie
Makroskopie
Virtuelles Präparat
Befund
Pathologischer Befund
Normalbefund
Literatur
Datum
Ersteintrag: 01.04.2003
Update: 01.04.2003