PathoPic – image database / PathoPic ID 4890 - mässig differenziertes hellzelliges Nierenzellkarzinom

de
Diagnose
mässig differenziertes hellzelliges Nierenzellkarzinom
Diagnose Gruppe
maligner Tumor
Topographie
Niere
Topographie Gruppe
Niere, Harnwege
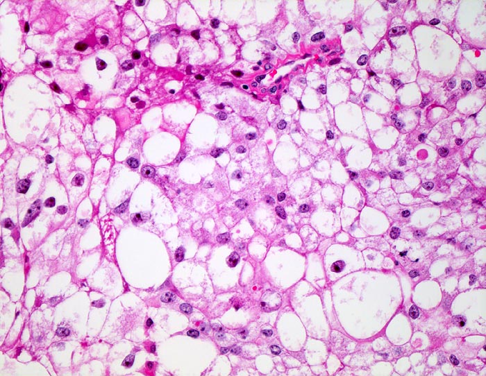
Beschreibung
Tumorzellen mit deutlichen Zellgrenzen. Das reichlich vorhandene Zytoplasma ist entweder klar oder fein granulär eosinophil. Die Zellkerne sind polymorph, deutlich grösser als Zellkerne eines Nierentubulus und enthalten schon bei schwacher Vergrösserung gut erkennbare Nukleolen entsprechend einem mässig differenzierten Karzinom.
Zusatzbefund
8cm grosser Tumor im Nierenoberpol. Bunte Schnittfläche mit multiplen gelben Knoten, ödematösem Stroma und Einblutungen, sowie fokaler Zystenbildung. Der Tumor infiltriert das Nierenbecken. Die Vena renalis ist tumorfrei.
Klinik
Wiederholte schmerzhafte Makrohämaturie. Im Urin werden Karzinomzellen nachgewiesen. Sonographisch und im Abdomen CT kommt ein Tumor im rechten Nierenoberpol zur Darstellung. Der Patient wird nephrektomiert.
Kommentar
Beim hellzelligen Nierenzellkarzinom erfolgt die Gradierung entsprechend der Kernmorphologie. Die meisten Karzinome fallen in die Kategorie der mässig differenzierten G2 Tumoren. Hoch differenzierte G1 Tumoren haben kleine runde Kerne mit feinen Nukleolen. Mitosen sind kaum nachweisbar. Bei wenig differenzierten G3 Karzinomen lassen sich neben stark vergrösserten hyperchromatischen Kernen mit stark vergrösserten Nukleolen auch mehrkernige Zellen nachweisen.
Bilder Typ
Histologie
Vergrösserung
200
Alter
57
Geschlecht
männlich
Datum
Ersteintrag: 11.06.2002