PathoPic – image database / PathoPic ID 4892 - mässig differenziertes hellzelliges Nierenzellkarzinom

de
Diagnose
mässig differenziertes hellzelliges Nierenzellkarzinom
Diagnose Gruppe
maligner Tumor
Topographie
Niere
Topographie Gruppe
Niere, Harnwege
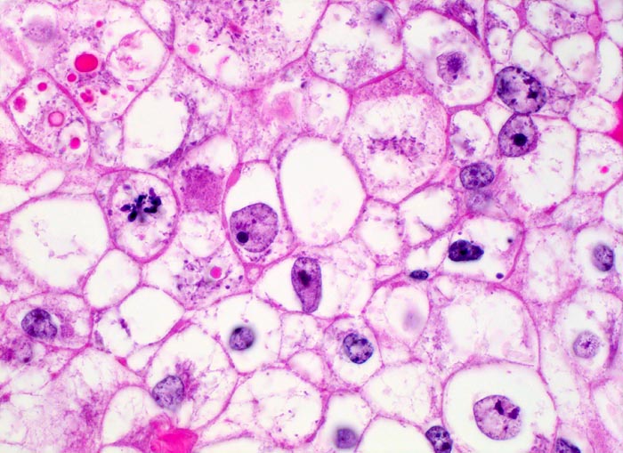
Beschreibung
Klarzelliger Tumor mit deutlichen Zellgrenzen. Das reichlich vorhandene Zytoplasma ist entweder klar oder fein granuliert. Ein Teil der Tumorzellen enthält rote intrazytoplasmatische hyaline Globuli. Mitose.
Zusatzbefund
8cm grosser Tumor im Nierenoberpol. Bunte Schnittfläche mit multiplen gelben Knoten, ödematösem Stroma und Einblutungen, sowie fokaler Zystenbildung. Der Tumor infiltriert das Nierenbecken. Die Vena renalis ist tumorfrei.
Klinik
Wiederholte schmerzhafte Makrohämaturie. Im Urin werden Karzinomzellen nachgewiesen. Sonographisch und im Abdomen CT kommt ein Tumor im rechten Nierenoberpol zur Darstellung. Der Patient wird nephrektomiert.
Kommentar
Hyaline Globuli können oft bei Nierenzellkarzinomen beobachtet werden. Sie kommen aber auch in vielen anderen Tumoren (Bsp. Hepatozelluläres Karzinom, Dottersacktumor) und in gutartigen Veränderungen vor. Die genaue Ätiologie und Bedeutung der Einschlüsse ist nicht geklärt.
Bilder Typ
Histologie
Vergrösserung
400
Alter
57
Geschlecht
männlich
Datum
Ersteintrag: 12.06.2002