n/ Soor

Diagnose
Soor
Diagnose Gruppe
Entzündung infektiös
Differenzialdiagnose
Topographie Gruppe
Lunge, Mediastinum mit Thymus
Topographie
Broncho-alveoläre Lavage
Einleitung
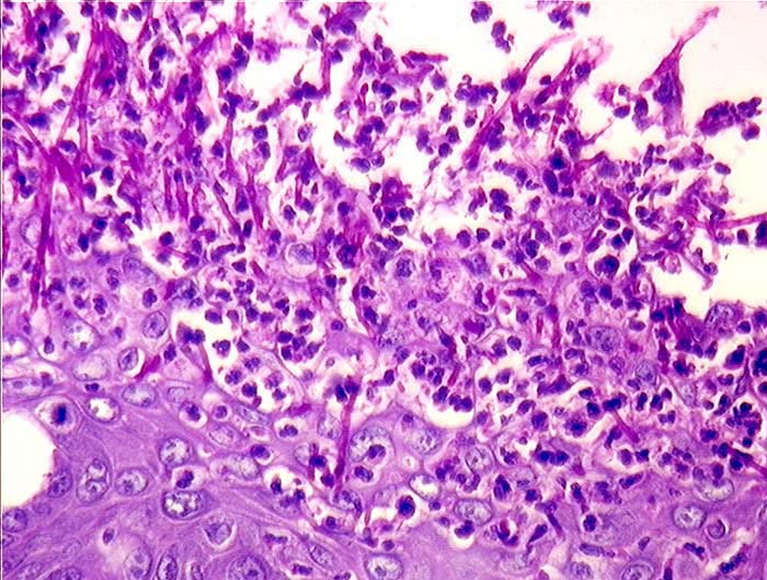
Candida albicans kann häufig im Bereich des Oropharynx und im Genitalbereich nachgewiesen werden. Dieser Nachweis ist oft ohne klinische Relevanz. Pseudohyphen und ein entzündlicher Hintergrund weisen auf eine Infektion hin. Die Hefeform misst 2 bis 4 Mikrometer im Durchmesser. Elongierte Hefen bilden Pseudohyphen mit Ausknospungen, aber ohne echte dichotome Verzweigungen.
Klinik
-
Normalbefund
Morphologie
Makroskopie
Virtuelles Präparat
Befund
Pathologischer Befund
Normalbefund
Literatur
Datum
Ersteintrag: 20.02.2003
Update: 20.02.2003