PathoPic – image database / PathoPic ID 5154 - Soorösophagitis

de
Diagnose
Soorösophagitis
Diagnose Gruppe
Entzündung infektiös
Topographie
Oesophagus
Topographie Gruppe
Oesophagus, Magen
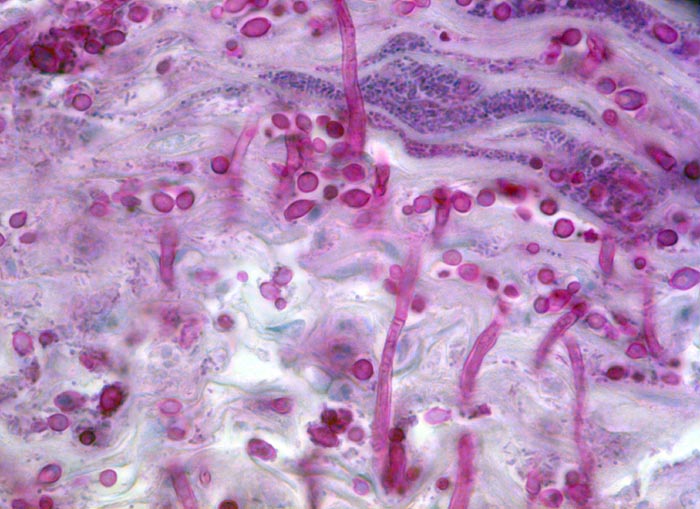
Beschreibung
Plattenepithellamellen durchsetzt von Bakterienkolonien und schlanken septierten Soorpseudohyphen ohne echte Verzweigungen und mit aussprossenden kugeligen Sporen.
Zusatzbefund
Weisse, streifenförmige Beläge auf der Mucosa
Klinik
Mann, 75 Jahre, mit bekanntem multiplen Myelom. Autopisepräparat. Progrediente Dysphagie.
Kommentar
Bakterien in einer Ösophagusbiopsie sind im Allgemeinen nicht pathogen. Bei einer echten bakeriellen Infektion liegen die Bakterien in tieferen Gewebsschichten und sind assoziiert mit neutrophilen Granulozyten und Nekrosen.
Bilder Typ
Histologie
Vergrösserung
500
Alter
75
Geschlecht
männlich
Datum
Ersteintrag: 19.09.2002