Pathopic
HiPaKu
ZyPaKu
PathoBasic
PathoBasic Cytology
Quizzes
Projektinfos
PathoPic - Projekt- und Copyright-Info
About
Pathopic
HiPaKu
ZyPaKu
PathoBasic
PathoBasic Cytology
Quizzes
PathoPic – image database
/
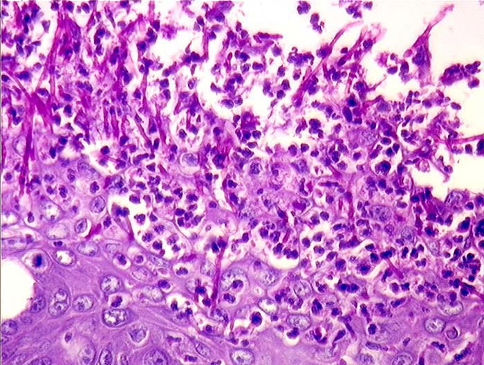
PathoPic ID 1463 - Soorösophagitis
de
Diagnose
Soorösophagitis
Diagnose Gruppe
Entzündung infektiös
Topographie
Oesophagus
Topographie Gruppe
Oesophagus, Magen
Beschreibung
Granulozytäres Entzündungsinfiltrat und Soor-Pseudohyphen erodieren die Schleimhautoberfläche.
Zusatzbefund
Soorstomatitis. Aortenbioprothese.
Kommentar
PathoSearch Autopsiefall 84
Bilder Typ
Histologie
Alter
69
Geschlecht
männlich
Datum
Ersteintrag: 17.12.2000
CPS
·
©
2024 Institut für Pathologie Basel
/
Dr. med. Katharina Glatz-Krieger
.
·
v2.1