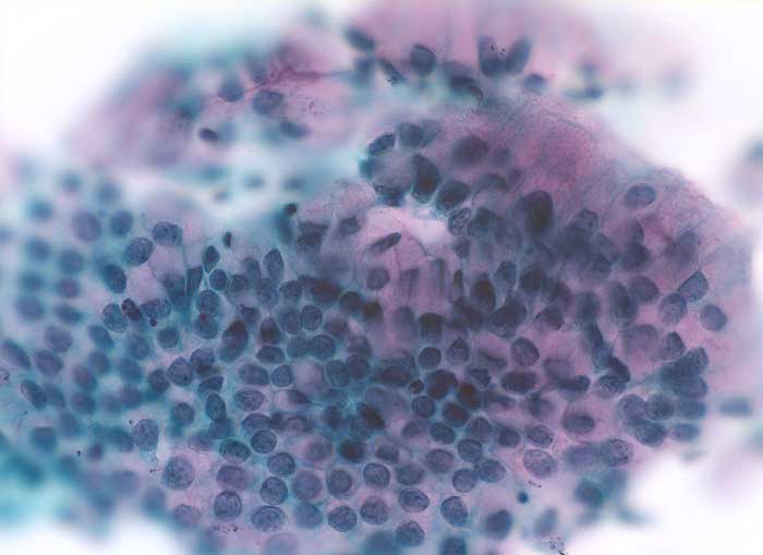
g/ Atypische Zylinderepithelien bei Gestagentherapie

Diagnose
Atypische Zylinderepithelien bei Gestagentherapie
Diagnose Gruppe
Entzündung / Reparatur
Differenzialdiagnose
Topographie Gruppe
Mamma
Topographie
Portio
Einleitung
Endozervixzellen können unter Gestageneinfluss oder als Folge chronischer Reizzustände (Intrauterinpessar) Zellkernveränderungen wie beim endozervikalen Adenocarcinoma in situ ausbilden. Entsprechende klinische Angaben sind unabdingbar für die korrekte Interpretation dieser Veränderungen.
Klinik
-
Normalbefund
Morphologie
Makroskopie
Virtuelles Präparat
Befund
Pathologischer Befund
Normalbefund
Literatur
Datum
Ersteintrag: 02.04.2003
Update: 02.04.2003