Pathopic
HiPaKu
ZyPaKu
PathoBasic
PathoBasic Cytology
Quizzes
Projektinfos
PathoPic - Projekt- und Copyright-Info
About
Pathopic
HiPaKu
ZyPaKu
PathoBasic
PathoBasic Cytology
Quizzes
PathoPic – image database
/
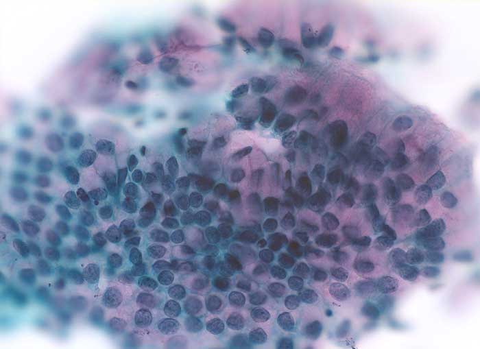
PathoPic ID 6101 - Zylinderepithelien
de
Diagnose
Zylinderepithelien
Diagnose Gruppe
Normalbefund
Topographie
Zervix
Topographie Gruppe
Genitalorgane, weiblich
Beschreibung
Zervixabstrich: regelmässiger honigwabenartiger Zellverband ohne Atypien. Die Zylinderzellen enthalten reichlich rosafarbenen Schleim.
Klinik
Jahreskontrolle
Bilder Typ
Zytologie
Vergrösserung
400
Alter
31
Geschlecht
unbekannt
Datum
Ersteintrag: 21.01.2003
Update: 30.07.2010
CPS
·
©
2024 Institut für Pathologie Basel
/
Dr. med. Katharina Glatz-Krieger
.
·
v2.1