PathoPic – image database / PathoPic ID 6232 - reaktiv veränderte Zylinderepithelien

de
Diagnose
reaktiv veränderte Zylinderepithelien
Diagnose Gruppe
Präneoplasie/ Atypie/ Dignität?
Topographie
Portio
Topographie Gruppe
Genitalorgane, weiblich
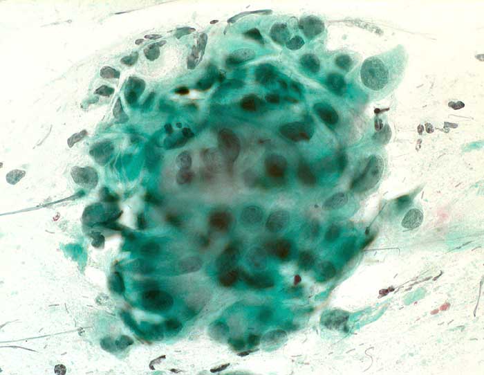
Beschreibung
Portioabstrich: mehrere sehr grosse Kerne mit Zylinderzellen und Nacktkernen. Chromatin normal, fein und regelmässig verteilt. Keine vergrösserten Nukleolen.
Klinik
Langzeitbehandlung mit Provera.
Kommentar
Zytologische Diagnose: Unverdächtig. Reaktive Zellveränderungen mit vergrösserten Kernen, wie unter Gestagen-Behandlung.
Bilder Typ
Zytologie
Vergrösserung
25
Alter
29
Geschlecht
unbekannt
Datum
Ersteintrag: 28.01.2003
Update: 10.08.2010