g/ Seröses Adenokarzinom des Endometrium

Diagnose
Seröses Adenokarzinom des Endometrium
Diagnose Gruppe
maligner Tumor
Differenzialdiagnose
Topographie Gruppe
Mamma
Topographie
Uterus
Einleitung
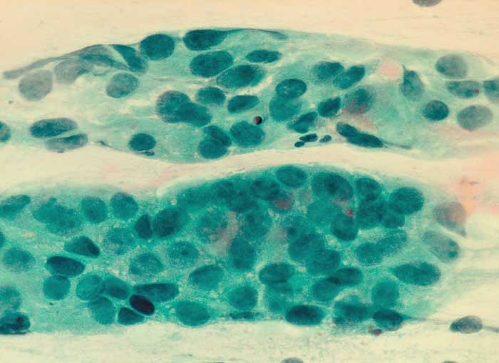
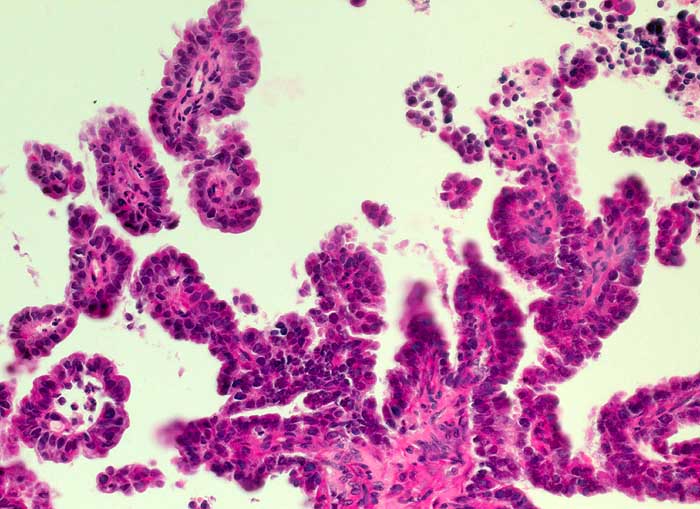
Die Zellkerne der serösen Adenokarzinome sind in den meisten Fällen hochgradig atypisch. Das Zellbild gleicht entsprechend demjenigen eines wenig differenzierten endometrioiden Adenokarzinoms. Da das seröse Karzinom anders als das endometrioide Karzinom nicht Folge eines Hyperöstrogenismus ist, zeigen die meist postmenopausalen Patientinnen keinen hohen Aufbau des Vaginalepithels im PC-Abstrich.
Klinik
-
Normalbefund
Morphologie
Makroskopie
Virtuelles Präparat
Befund
Pathologischer Befund
Normalbefund
Literatur
Datum
Ersteintrag: 01.04.2003
Update: 01.04.2003