PathoPic – image database / PathoPic ID 6275 - seröses papilläres Adenokarzinom des Endometrium

de
Diagnose
seröses papilläres Adenokarzinom des Endometrium
Diagnose Gruppe
maligner Tumor
Topographie
Portio
Topographie Gruppe
Genitalorgane, weiblich
Beschreibung
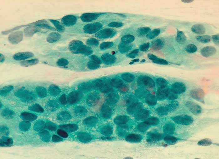
Portioabstrich: Tapetenförmige Verbände atypischer Zellen. Die Zellen sind etwas grösser als Basalzellen des Plattenepithels und besitzen deutlich polymorphe Kerne. Die Kernstruktur ist meist nicht eindeutig beurteilbar. Hie und da finden sich auffallend grosse Nukleolen.
Zusatzbefund
Histologie: serös papilläres Endometriumkarzinom
Klinik
St.n. Hysteroskopie, Curettage und Endometriumresektion wegen postmenopausaler-Blutung. Hoch aufgebautes Endomometrium.
Kommentar
Zytologische Diagnose: Massenhaft Verbände von Epithelien mit Kernatypien.
Im vorliegenden Befund lässt sich nicht sicher entscheiden, ob die Zellen aus der Portio oder aber aus dem Endometrium stammen. Histologische Abklärung ratsam.
Bilder Typ
Zytologie
Vergrösserung
500
Alter
65
Geschlecht
unbekannt
Datum
Ersteintrag: 30.01.2003
Update: 10.08.2010