PathoPic – image database / PathoPic ID 6392 - seröses papilläres Adenokarzinom des Endometrium

de
Diagnose
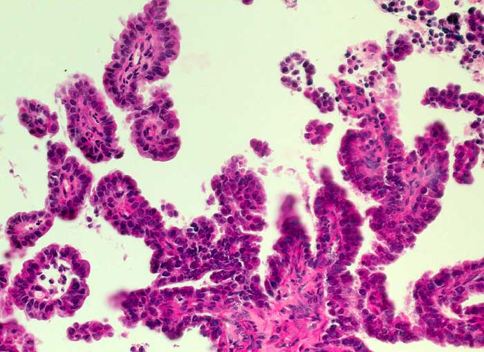
seröses papilläres Adenokarzinom des Endometrium
Diagnose Gruppe
maligner Tumor
Topographie
Portio
Topographie Gruppe
Genitalorgane, weiblich
Beschreibung
Plumpe Papillen ausgekleidet von einem kubischen einreihigen Epithel mit hochgradig atypischen Kernen.
Klinik
St.n. Hysteroskopie, Curettage und Endometriumresektion wegen postmenopausaler-Blutung. Hoch aufgebautes Endomometrium.
Bilder Typ
Histologie
Vergrösserung
200
Alter
65
Geschlecht
unbekannt
Datum
Ersteintrag: 11.02.2003
Update: 10.08.2010