g/ Atrophische Kolpitis

Diagnose
Atrophische Kolpitis
Diagnose Gruppe
Hypoplasie/ Involution/ Atrophie
Differenzialdiagnose
Topographie Gruppe
Mamma
Topographie
Portio
Einleitung
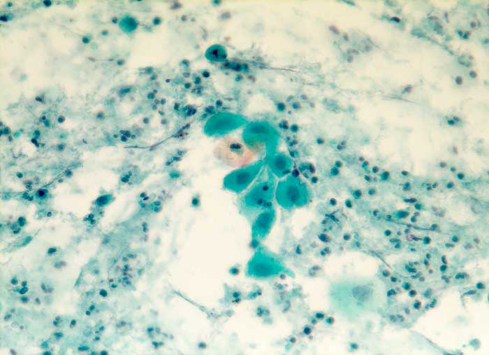
Es finden sich atrophe abgerundete Plattenepithelzellen mit vergrösserten normochromatischen Kernen. Autolyse kann in nackten Kernen resultieren. Degenerierte orangeophile oder Zellen mit Kernpyknose, welche Parabasalzellen ähneln, können vorhanden sein. Ein basophil granulärer Hintergrund mit reichlich Entzündungszellen kann eine Tumordiathese imitieren. Basophiles amorphes Material, sogenannte blue blobs, entsprechen möglicherweise degenerierten Parabasalzell-artigen Zellen.
Klinik
-
Normalbefund
Morphologie
Makroskopie
Virtuelles Präparat
Befund
Pathologischer Befund
Normalbefund
Literatur
Datum
Ersteintrag: 01.04.2003
Update: 01.04.2003