PathoPic – image database / PathoPic ID 5635 - Atrophische Kolpitis

de
Diagnose
Atrophische Kolpitis
Diagnose Gruppe
Hypoplasie/ Involution/ Atrophie
Topographie
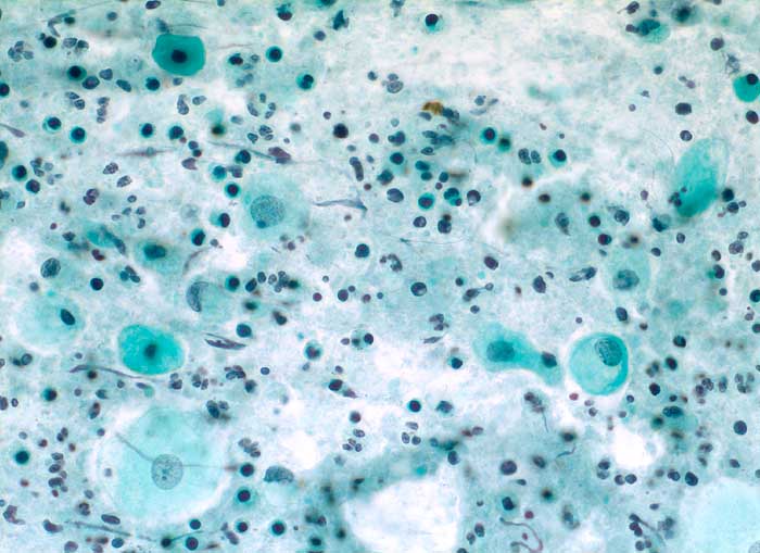
Portio
Topographie Gruppe
Genitalorgane, weiblich
Beschreibung
Portio/Zervix Abstrich: Generalisierte Vergrösserung der Zellkerne in atrophen oder parabasalzell-artigen Zellen ohne signifikante Hyperchromasie. Autolyse kann in nackten Kernen resultieren. Degenerierte parabasalzell-artige Zellen mit Kernpyknose. Reichlich Entzündungszellen und basophiler granulärer Hintergrund ähnlich einer Tumordiathese.
Kommentar
Zytologische Diagnose: Atrophische Kolpitis. Im vorliegenden zytologischen Ausstrichmaterial keine Hinweise auf Dysplasie. Wir empfehlen aber sicherheitshalber eine Kontrolle nach hormonellem Aufbau.
Bilder Typ
Zytologie
Vergrösserung
400
Alter
51
Geschlecht
unbekannt
Datum
Ersteintrag: 26.12.2002
Update: 10.08.2010