PathoPic – image database / PathoPic ID 5632 - Atrophische Kolpitis

de
Diagnose
Atrophische Kolpitis
Diagnose Gruppe
Hypoplasie/ Involution/ Atrophie
Topographie
Portio
Topographie Gruppe
Genitalorgane, weiblich
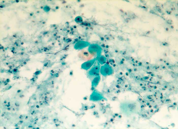
Beschreibung
Portio/Zervix Abstrich: Reichlich Entzündungszellen und basophiler granulärer Hintergrund ähnlich einer Tumordiathese. Lockerer Verband metaplastischer Plattenepithelien mit schlecht erhaltenen Kernen.
Kommentar
Zytologische Diagnose: Atrophische Kolpitis. Im vorliegenden zytologischen Ausstrichmaterial keine Hinweise auf Dysplasie. Wir empfehlen aber sicherheitshalber eine Kontrolle nach hormonellem Aufbau.
Bilder Typ
Zytologie
Vergrösserung
320
Alter
51
Geschlecht
unbekannt
Datum
Ersteintrag: 26.12.2002
Update: 10.08.2010