g/ Seröser Borderlinetumor des Ovars

Diagnose
Seröser Borderlinetumor des Ovars
Diagnose Gruppe
Präneoplasie/ Atypie/ Dignität?
Differenzialdiagnose
Topographie Gruppe
Mamma
Topographie
Ovar
Einleitung
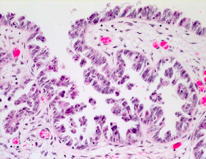
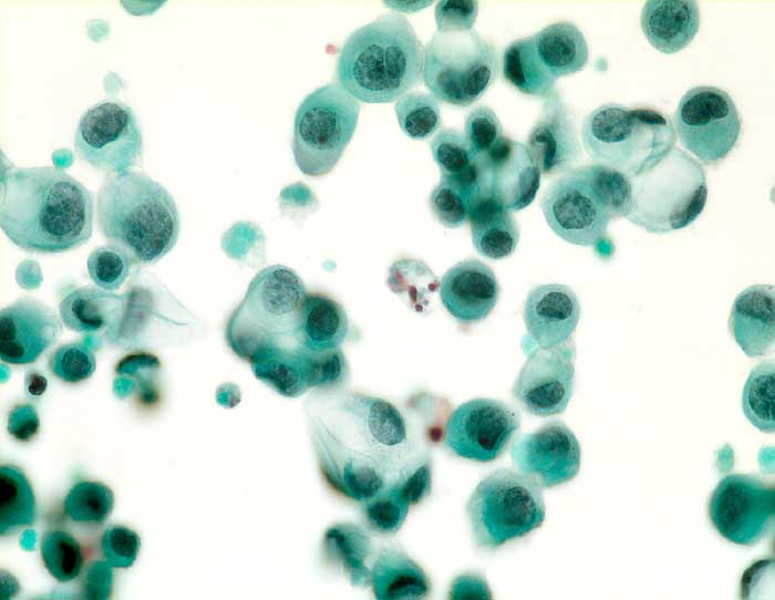
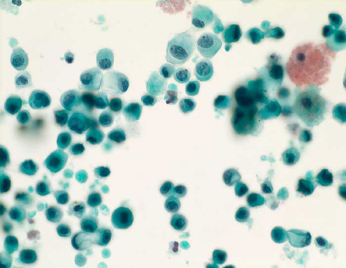
Die Zellen von serösen Zystadenomen, serösen Borderlinetumoren und serösen Karzinomen sehen sehr ähnlich aus. Sie unterscheiden sich lediglich durch eine graduelle Zunahme der Atypien, wobei der Borderlinetumor eine Zwischenstellung einnimmt. Die Epithelien sind kubisch bis niedrig zylindrisch und kommen einzeln oder in kleinen Verbänden vor. Gelegentlich bilden sie knospenförmige Proliferate, die in der Zystenflüssigkeit schwimmen. Die Kerne sind leicht vergrössert und polymorph. Einzelne Zellen können prominente Nukleolen enthalten.
Klinik
-
Normalbefund
Morphologie
Makroskopie
Virtuelles Präparat
Befund
Pathologischer Befund
Normalbefund
Literatur
Datum
Ersteintrag: 01.04.2003
Update: 01.04.2003