PathoPic – image database / PathoPic ID 6047 - serös papillärer Ovarialtumor von Borderline Malignität

de
Diagnose
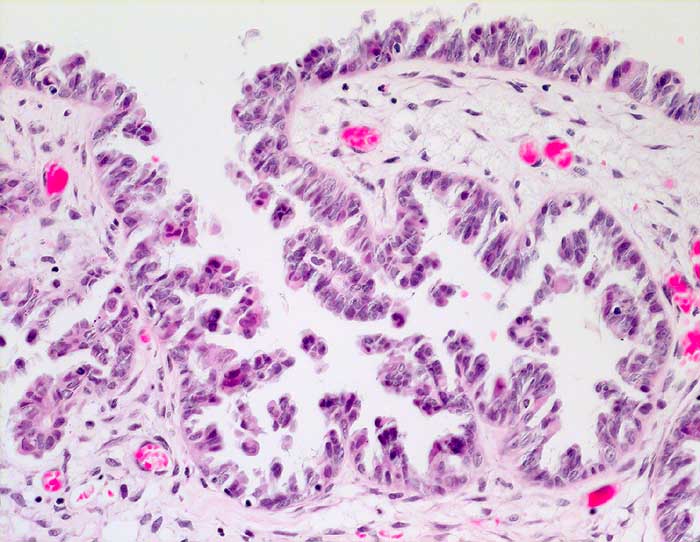
serös papillärer Ovarialtumor von Borderline Malignität
Diagnose Gruppe
maligner Tumor
Topographie
Ovar
Topographie Gruppe
Genitalorgane, weiblich
Beschreibung
Das auskleidende Epithel zeigt kleine knospenförmige pseudopapilläre Proliferate von nicht schleimbildenden Zellen mit leicht vergrösserten und hyperchromatischen Kernen.
Zusatzbefund
Histologie: serös papillärer Ovarialtumor von Borderlinemalignität
Klinik
12cm grosser zystischer Ovarialtumor
Kommentar
Zytologische Diagnose: zahlreiche Zellen mit leichten Kernatypien. Aufgrund der Kernatypien ist in erster Linie an einen serösen Borderline Tumor zu denken. Ein invasives Karzinom ist weniger wahrscheinlich, aber nicht ausgeschlossen.
Bilder Typ
Histologie
Vergrösserung
200
Alter
53
Geschlecht
unbekannt
Datum
Ersteintrag: 15.01.2003
Update: 10.08.2010