PathoPic – image database / PathoPic ID 6045 - serös papillärer Ovarialtumor von Borderline Malignität

de
Diagnose
serös papillärer Ovarialtumor von Borderline Malignität
Diagnose Gruppe
maligner Tumor
Topographie
Ovar
Topographie Gruppe
Genitalorgane, weiblich
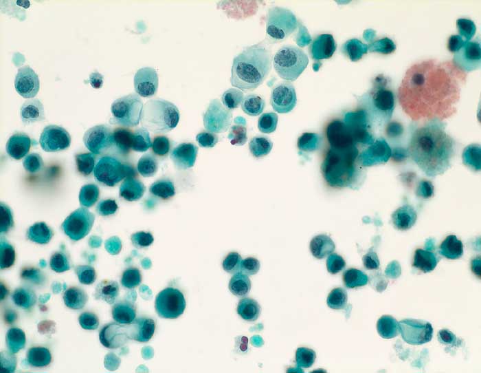
Beschreibung
Flüssigkeit aus zystischem Ovarialtumor: zystischer Hintergrund mit Makrophagen und degenerierten Zellen. Zahlreiche einzeln liegende Zellen mit hyperchromatischen Zellkernen und unregelmässiger Kernmembran. Das Zytoplasma ist teilweise vakuolisiert.
Zusatzbefund
Histologie: serös papillärer Ovarialtumor von Borderlinemalignität
Klinik
12cm grosser zystischer Ovarialtumor
Kommentar
Zytologische Diagnose: zahlreiche Zellen mit leichten Kernatypien. Aufgrund der Kernatypien ist in erster Linie an einen serösen Borderline Tumor zu denken. Ein invasives Karzinom ist weniger wahrscheinlich, aber nicht ausgeschlossen.
Bilder Typ
Zytologie
Vergrösserung
400
Alter
53
Geschlecht
unbekannt
Datum
Ersteintrag: 15.01.2003
Update: 10.08.2010