g/ Seröses Zystadenom des Ovars

Diagnose
Seröses Zystadenom des Ovars
Diagnose Gruppe
benigner Tumor
Differenzialdiagnose
Topographie Gruppe
Mamma
Topographie
Ovar
Einleitung
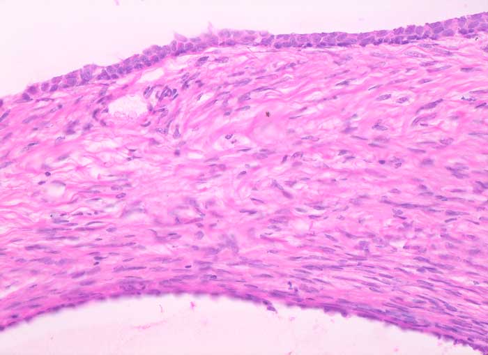
Der Ausstrich ist zellarm. Die Epithelien sind kubisch bis niedrig-zylindrisch und einzeln oder in flach ausgebreiteten Verbänden gelagert. Die Zellgrenzen sind weniger scharf als beim muzinösen Zystadenom. Die Kerne sind rund und das Chromatin ist fein granulär. Nukleolen sind klein oder fehlen. Das Zytoplasma enthält keinen Schleim und ist nicht vakuolisiert. Der apikale Zellrand trägt Zilien, was das seröse Zystadenom von Granulosazellen einer Follikelzyste unterscheidet. Die Zystenflüssigkeit enthält neben Epithelzellen Schaumzellen, Hämosiderin und ältere Blutbestandteile. Unten werden zwei verschiedene Fälle mit histologischer Korrelation gezeigt.
Klinik
-
Normalbefund
Morphologie
Makroskopie
Virtuelles Präparat
Befund
Pathologischer Befund
Normalbefund
Literatur
Datum
Ersteintrag: 01.04.2003
Update: 01.04.2003