Pathopic
HiPaKu
ZyPaKu
PathoBasic
PathoBasic Cytology
Quizzes
Projektinfos
PathoPic - Projekt- und Copyright-Info
About
Pathopic
HiPaKu
ZyPaKu
PathoBasic
PathoBasic Cytology
Quizzes
PathoPic – image database
/
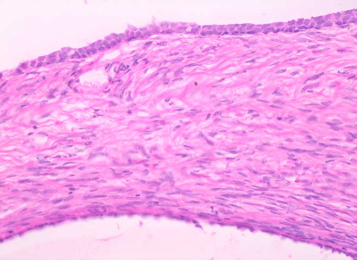
PathoPic ID 5389 - Seröses Zystadenom des Ovars
de
Diagnose
Seröses Zystadenom des Ovars
Diagnose Gruppe
benigner Tumor
Topographie
Ovar
Topographie Gruppe
Genitalorgane, weiblich
Beschreibung
Dünne Zystenwand ausgekleidet von flachem bis kubischem ein- bis zweireihigem Epithel ohne Atypien.
Klinik
Adnexzyste rechts
Bilder Typ
Histologie
Vergrösserung
200
Alter
73
Geschlecht
unbekannt
Datum
Ersteintrag: 20.11.2002
Update: 10.08.2010
CPS
·
©
2024 Institut für Pathologie Basel
/
Dr. med. Katharina Glatz-Krieger
.
·
v2.1