Pathopic
HiPaKu
ZyPaKu
PathoBasic
PathoBasic Cytology
Quizzes
Projektinfos
PathoPic - Projekt- und Copyright-Info
About
Pathopic
HiPaKu
ZyPaKu
PathoBasic
PathoBasic Cytology
Quizzes
PathoPic – image database
/
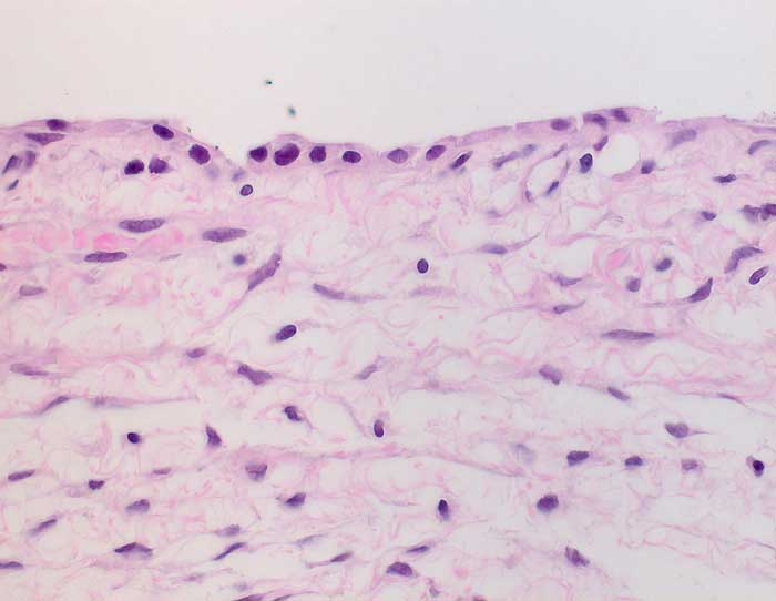
PathoPic ID 6251 - Seröses Zystadenom des Ovars
de
Diagnose
Seröses Zystadenom des Ovars
Diagnose Gruppe
benigner Tumor
Topographie
Ovar
Topographie Gruppe
Genitalorgane, weiblich
Beschreibung
Fibrosierter Zystenbalg ausgekleidet von einem einschichtigen kubischen Epithel mit kleinen runden Kernen ohne Atypien. Der Epithelbelag fehlt stellenweise.
Klinik
6cm grosse Ovarialzyste.
Bilder Typ
Histologie
Vergrösserung
400
Alter
52
Geschlecht
unbekannt
Datum
Ersteintrag: 28.01.2003
Update: 10.08.2010
CPS
·
©
2024 Institut für Pathologie Basel
/
Dr. med. Katharina Glatz-Krieger
.
·
v2.1