Staats/ Riesenzellarteriitis

Diagnose
Riesenzellarteriitis
Diagnose Gruppe
vaskulär / Durchblutungsstörung
Differenzialdiagnose
Topographie Gruppe
Kardiovaskuläres System
Topographie
Arteria temporalis
Einleitung
Revidierte internationale Chapel Hill-Nomenklatur der Vaskulitiden 2012:

  • Grossgefässvaskulitiden: Takayasu Arteritis, Riesenzellarteriitis 
  • Vaskulitis mittelgrosser Gefässe: Polyarteriitis nodosa, Kawasaki Syndrom 
  • Kleingefässvaskulitiden: ANCA assoziierte Vaskulitiden und Immunkomplex Kleingefässvaskulitiden 
  • Variable Gefässe: Morbus Behcet, Cogan's Syndrom 
  • Einzelorganvaskulitis: Vaskulitis in Arterien oder Venen jeder Grösse in einem einzelnen Organ ohne Hinweise auf eine limitierte Form einer systemischen Vaskulitis z.B. kutane leukozytoklastische Vaskulitis, isolierte Aortitis u.a. 
  • Vaskulitis assoziiert mit Systemerkrankungen: Lupusvaskulitis, Rheumatoide Vaskulitis, Vaskulitis bei Sarkoidose u.a. 
  • Vaskulitis assoziiert mit wahrscheinlicher Ätiologie: HCV assoziierte kryoglobulinämische Vaskulitis, HBV assoziierte Vaskulitis, Syphilitische Aortitis, Medikamentenassoziierte Immunkomplexvaskulitis, Malignom assoziierte Vaskulitis u.a.

Grosse Arterien umfassen die Aorta und ihre Äste und entsprechende Venen, welche ganze Körperregionen versorgen (Kopf-, Hals-, und Extremitätenarterien). Mittelgrosse Gefässe entsprechen den organversorgenden Gefässen und deren initialen Verzweigungen (A. renalis, A. hepatica, Mesenterialarterien, Koronararterien…) und kleine Gefässe allen Gefässen distal der mittelgrossen Gefässe inklusive Arteriolen, Kapillaren und Venolen. Kleine Gewebsbiopsien enthalten entsprechend meist ausschliesslich kleine Gefässe.
 Grossgefässvaskulitiden, Vaskulitiden mittelgrosser Gefässe und Kleingefässvaskulitiden können prinzipiell alle Gefässkaliber befallen. Grossgefässvaskulitiden befallen aber prädominant grosse Gefässe und die Polyarteriitis nodosa befällt prädominant mittelgrosse Arterien. 
Die ANCA assoziierten Vaskulitiden umfassen die mikroskopische Polyangiitis, die Granulomatose mit Polyangiitis (Morbus Wegener) und die eosinophile Granulomatose mit Polyangiitis (Churg-Strauss Syndrom). ANCA-assoziierte Kleingefässvaskulitiden können seltenerweise auch mittelgrosse Arterien oder Venen betreffen. 
Sekundäre vaskulitische Veränderungen können vorkommen in Gefässen unmittelbar angrenzend an ein Ulkus oder eine Gewebsnekrose. Diese sind entsprechend lokal begrenzt.
 
Histomorphologische Definition einer Vaskulitis:
Aktive Vaskulitis: Infiltration und/oder Destruktion der Gefässwand durch ein Entzündungsinfiltrat. Intraluminale Fibrinthromben oder intramurale Fibrinablagerungen (fibrinoide Nekrose).
Abgeheilte Vaskulitis: Segmentaler oder kompletter Verlust der elastischen Fasern in mittleren und grossen Gefässen assoziiert mit zellarmer Vernarbung der Gefässwand.

 iesenzellarteriitis:
Bevorzugt sind bei der Riesenzellarteriitis die vom Aortenbogen nach kranial abgehenden Gefässe, speziell die Arteria temporalis, die Arteria ophthalmica und die hinteren Ciliararterien betroffen. Eine Mitbeteiligung der Aorta, aortennaher Gefässe oder ein systemischer Befall liegen bei 25-68% der Fälle vor. Die Bezeichnung der Riesenzellarteriitis als Arteriitis temporalis (Morbus Horton) ist daher irreführend und obsolet.

Morphologie:
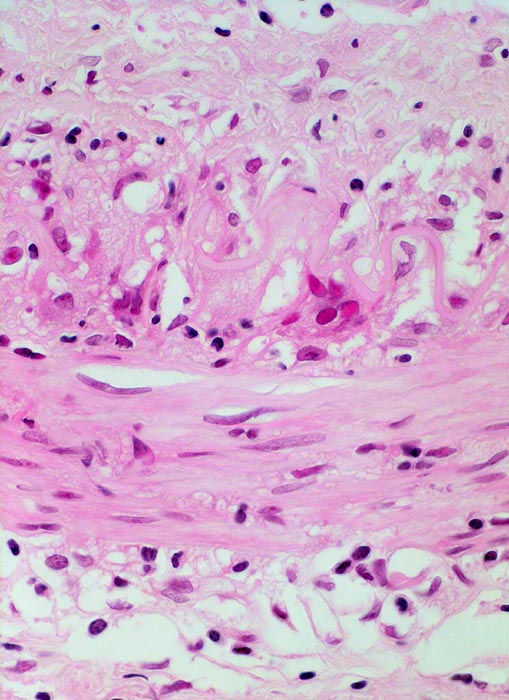
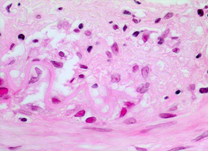
Histologisch diagnostisch ist der Nachweis von monohistiozytären Entzündungsinfiltraten entlang der Lamina elastica interna und deren Fragmentierung bzw. Zerstörung über längere Strecken (> 242). In frischen Läsionen findet sich die Entzündung unter Umständen ausschliesslich im Bereich der Vasa vasorum der Adventitia und der Media. In nur 50% der Fälle sind mehrkernige Riesenzellen (> 237) vorhanden. Seltenere Befunde sind eine Entzündung der Vasa vasorum, Verkalkungen der Lamina elastica, Intimaverdickungen und fibrinoide Gefässwandnekrosen. In Abwesenheit einer Entzündung lässt sich eine abgeheilte Arteritis temporalis nicht von atherosklerotischen oder unspezifischen altersbedingten Veränderungen der Arterie unterscheiden. 

update 29.8.2017 
Klinik
Vorkommen:
Die Arteritis temporalis Horton (=Riesenzellarteriitis) ist die häufigste Vaskulitis mit einer Inzidenz von 25 pro Million Einwohner pro Jahr. Die Riesenzellarteriitis tritt in höherem Lebensalter (Patienten > 50 Jahre) auf und ist häufig (50%) mit der Polymyalgia rheumatica assoziiert. Das mittlere Alter bei Erkrankungsbeginn ist 75 Jahre. Frauen sind zwei- bis dreimal so oft betroffen. 

Symptome und Diagnostik:
Der ein- oder beidseitige pochende Schläfenkopfschmerz mit Rötung und Druckschmerzhaftigkeit der Haut über der Temporalarterie sowie Schmerzen im Mandibulargelenk beim Kauen gelten als wegweisende Symptome. Fieber, Nachtschweiss, Gewichtsverlust, Schmerzen und Steifheitsgefühl im Schultergürtel- und Beckenbereich sind ebenfalls möglich. Obwohl die Riesenzellarteriitis in der Regel spontan ausheilt, ist eine zeitnahe Diagnostik deshalb so wichtig, weil in bis zu einem Drittel aller Fälle durch die Beteiligung der A. centralis retinae eine vorübergehende oder bleibende Sehstörung bis zur vollständigen Erblindung eines oder beider Augen eintreten kann. Die Diagnose kann gestellt werden, wenn 3 der 5 folgenden Kriterien erfüllt sind: 
  • Patient bei Erstmanifestation über 50 Jahre 
  • neu auftretender oder neuartiger lokalisierter Kopfschmerz 
  • Druckschmerz und/oder Pulslosigkeit der Temporalarterien 
  • stark erhöhte Blutsenkung (>50mm/h) oder erhöhtes CRP 
  • positive Arterienbiopsie Der Nachweis krankheitstypischer histomorphologischer Veränderungen in der Temporalarterienbiopsie gilt als Goldstandard für die Bestätigung der Diagnose. Duplexsonographie, Positronenemissionstomographie und Magnetresonanztomographie haben ebenfalls eine hohe Sensitivität und Spezifität. Mittels Farbduplex-Sonographie kann in umschriebenen Bereichen der Temporalarterie der erfolgsversprechendste Biopsieort markiert werden. Die Indikation zur Temporalarterienbiopsie wird bei klinischer Unsicherheit vorzugsweise im Ramus posterior der Arteria temporalis superficialis empfohlen. Der Befall kann segmental ausgeprägt sein. Aus diesem Grund sollte ein möglichst langes Arterienteilstück exzidiert werden (mindestens 1cm), welches in seiner gesamten Länge histologisch untersucht wird. Ein negativer Biopsiebefund schliesst wegen möglicher Trefferfehler eine Vaskulitis nicht aus. Auch bei negativem Biopsiebefund (ca. 30-40% der Patienten) kann bei Erfüllung von drei der oben genannten Kriterien eine Riesenzellarteriitis diagnostiziert werden. 


Therapie:
Bei dringendem klinischem Verdacht ist die sofortige Steroidtherapie auch ohne Bestätigung durch die Biopsie indiziert, bevor eine signifikante Gefässobliteration eintritt. Etwa eine Woche nach Beginn der Steroidtherapie beginnen sich die entzündlichen Veränderungen zurückzubilden. Die histologische Diagnose ist im besten Fall aber noch bis zu 2-3 Monate nach Therapiebeginn möglich. 

Komplikationen:
Gefürchtete Komplikationen sind Visusverlust oder Enzephalomalazie. Warnsymptome sind Amaurosis fugax, verschwommener Visus, Diplopie, transiente ischämische Attacken oder eine Claudicatio des Kiefers. Der Befall extrakranieller Gefässe kann sich äussern in einer Aorteninsuffizienz, Ruptur eines Aortenaneruysma, Aortendissektion, Myokardinfarkt, Claudicatio der Extremitäten oder Darmischämien. 

Prognose:
60% der Patienten erleiden nach Reduktion der Steroiddosis ein Rezidiv. Rezidive nach Therapieabschluss sind ebenfalls bei der Hälfte der Patienten zu erwarten. Die Lebenserwartung von Patienten mit Riesenzellarteriitis ist nicht reduziert. Die Prognose ist besser bei Patienten, die keine prolongierte Therapie benötigen und initial keine okulären Symptome haben. 
update 29.8.2017 
Morphologie
Achtung: das erste und das zweite virtuelle Präparat sind Prüfungsstoff (HE Färbung und Elastica van Gieson Färbung desselben Präparates).
Morphologische Merkmale: 
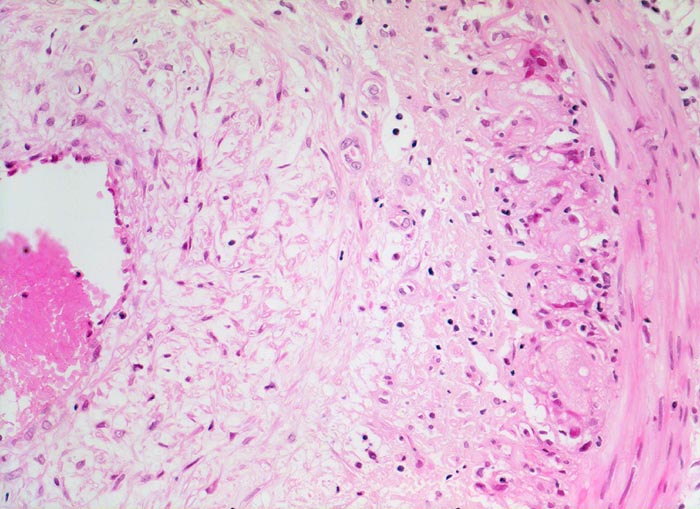
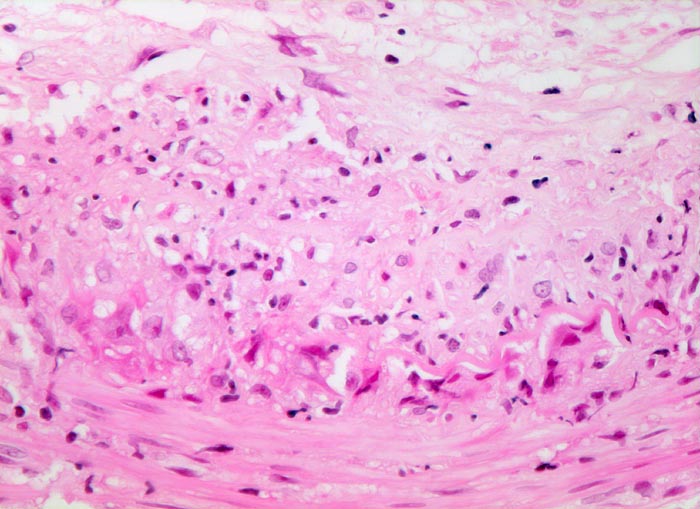
  • Arteriensegment mit dichten, zirkulären lymphohistioplasmazellulären Entzündungsinfiltraten mit Beteiligung neutrophiler Granulozyten in allen Wandschichten (Adventitia, Media und Intima). 
  • Histiozyten und mehrkernige Riesenzellen finden sich bevorzugt entlang der Lamina elastica interna. Die Riesenzellen enthalten teilweise phagozytierte Fragmente der Lamina elastica interna. 
  • Fragmentierung, Abblassung und herdförmig Zerstörung der Lamina elastica interna über längere Strecken (EvG Färbung). 
  • Ausgeprägte Intimafibrose mit mit dichten Infiltraten zerfallender neutrophiler Granulozyten. 
  • Das Gefässlumen partiell obliterierender frischer Gerinnungsthrombus. Das sollte der Kliniker dem Pathologen mitteilen: 
  • Vorliegen typischer Symptome und Befunde. 
  • Polymyalgia rheumatica. 
  • Steroidtherapie (Zeitpunkt des Beginns, Dosierung). 
  • Befall anderer Gefässe (Befunde der Bildgebung) 
  • Rezidiv oder Erstbefund. 

update 29.8.2017 
Makroskopie
Befund
Pathologischer Befund
Normalbefund
Datum
Ersteintrag: 10.07.2019
Update: 02.01.2023