PathoPic – image database / PathoPic ID 4641 - Arteritis temporalis Horton (Riesenzellarteriitis)

de
Diagnose
Arteritis temporalis Horton (Riesenzellarteriitis)
Diagnose Gruppe
vaskulär / Durchblutungsstörung
Topographie
Arteria temporalis
Topographie Gruppe
Kardiovaskuläres System
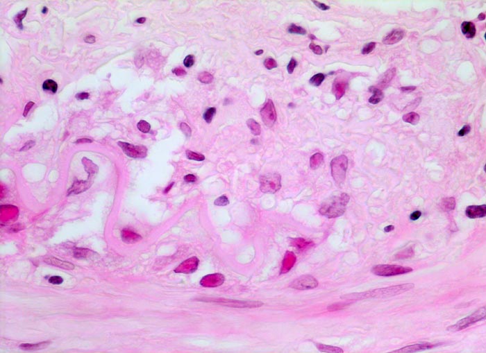
Beschreibung
An der Grenze zwischen Media und Intima (oben) Reste einer fragmentierten Lamina elastica interna. Lymphozytäres und Histiozytäres Infiltrat im Bereich der Media-Intima Grenze.
Klinik
Seit mehreren Monaten starke beidseitige Schläfenkopfschmerzen. Seit einigen Tagen zusätzlich symmetrische muskelkaterartige Schmerzen im Schulterbereich und am Gesäss. Druckschmerzhaftigkeit der Oberarme. Druckschmerzhafte und pulslose Temporalarterien. Stark erhöhte Blutsenkungsgeschwindigkeit. Biopsie der Temporalarterien und Einleitung einer Corticosteroidtherapie bei dringendem Verdacht auf Horton Arteritis.
Kommentar
Riesenzellen sind nur bei zwei Drittel aller Fälle nachweisbar. Da die Läsionen meist segmental verteilt sind, sollte eine Biopsie idealerweise ein 4-5cm langes Arterienteilstück umfassen. Das Gewebe wird vollständig eingebettet und mit Stufenschnitten untersucht.
Bilder Typ
Histologie
Vergrösserung
630
Alter
80
Geschlecht
männlich
Datum
Ersteintrag: 06.05.2002