PathoPic – image database / PathoPic ID 4383 - Arterie

de
Diagnose
Arterie
Diagnose Gruppe
Normalbefund
Topographie
Blutgefäss
Topographie Gruppe
Kardiovaskuläres System
Beschreibung
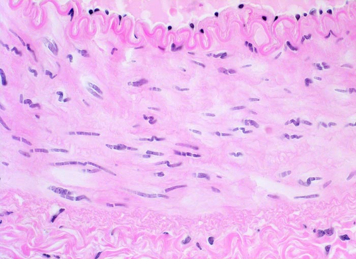
Die Endothelzellen mit wenig subendothelialem Bindegewebe sitzen auf einer prominenten gewellten Lamina elastica interna. Die dünnere Lamina elastica externa ist in dieser Färbung nicht abgrenzbar. Die Kerne der glatten Muskelzellen der Media sind langgestreckt und verlaufen gewellt.
Bilder Typ
Histologie
Vergrösserung
400
Alter
24
Geschlecht
männlich
Datum
Ersteintrag: 15.04.2002