Molekulare Pathogenese:
Rund 85% aller Kolonkarzinome treten sporadisch auf, rund 15% im Rahmen eines familiären Tumorsyndroms.
Die grosse Mehrheit der kolorektalen Karzinome (CRC) entwickelt sich aus gutartigen Kolonschleimhautadenomen durch Akkumulation bestimmter genetischer Veränderungen, die bezeichnet wird als Adenom-Karzinom Sequenz (chromosomale Instabilität, mikrosatellitenstabil: 84% der CRC). Die spontane Mutation des APC Gens (adenomatous polyposis coli-suppressor gene) ist der erste Schritt in dieser Progression vom Adenom zum Karzinom.
Bei der familiären Polyposis coli liegt eine Keimbahnmutation dieses APC Gens vor. In der Folge kommt es zu Mutationen des KRAS Gens, des TP53 Gens und schließlich zu Deletionen von Chromosom 18q.
Ein zweiter häufiger Entstehungsweg von Kolonkarzinomen, der sich beim vererbten Lynch Syndrom aber auch bei einem Teil der nicht hereditären Karzinome findet, ist der Ausfall eines DNA-Reperaturenzyms (hypermutiert, mikrosatelliteninstabil: 13% der CRC). Wegen dem Ausfall eines oder mehrerer DNA-Reparaturenzyme werden spontane somatische Mutationen nicht mehr repariert. Insertionen und Deletionen akkumulieren und führen so zu einer genomischen Instabilität. Der Verlust des entsprechenden DNA-Mismatch-Reparaturproteins ist immunhistochemisch feststellbar. Die daraus resultierende Mikrosatelliteninstabilität lässt sich mittels molekularpathologischer Methoden nachweisen.
In über 90% der kolorektalen Karzinome kommt es durch genomische Veränderungen zur Aktivierung des WNT Signalweges.
Die molekularpathologischen Untersuchungen beim Kolonkarzinom (immunhistochemische Untersuchung der DNA-Reparaturproteine, Mutationsanalyse bei fortgeschrittenen Tumoren mittels next generation sequencing) haben prognostische und prädiktive Bedeutung.
Morphologie:
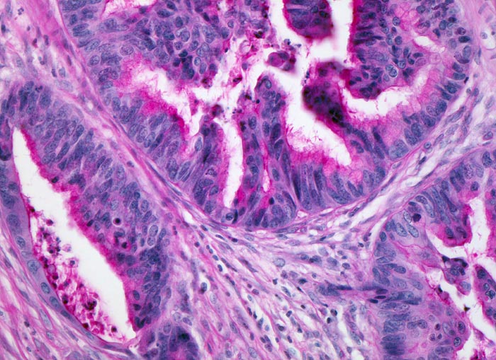
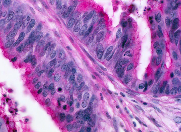
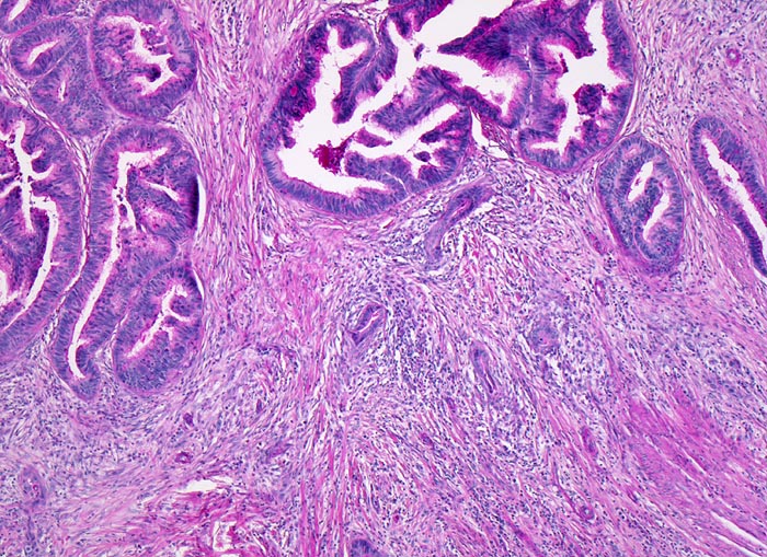
Die meisten Adenokarzinome des Kolons bilden Drüsen. Die Drüsenlumina enthalten oft nekrotischen Detritus und variable Mengen von Schleim. Der intraluminale nekrotische Detritus findet sich oft auch in den Metastasen kolorektaler Karzinome und gibt einen morphologischen Hinweis auf die Lokalisation des Primärtumors, wenn nur Gewebe aus einer Metastase für die histologische Untersuchung zur Verfügung steht.
Das Tumorgrading basiert auf dem Ausmass der Drüsenbildung (>50% Drüsenbildung = low grade, <50% Drüsenbildung = high grade).
Es gibt verschiedene histologische Subtypen wie muzinöse Karzinome ( 328), Siegelringkarzinome, medulläre Karzinome oder adenosquamöse Karzinome.
Prognostisch ungünstige histologische Parameter sind Lymphgefäss- und Veneninvasion, Perineuralscheideninvasion, hohes Tumorbudding (zahlreiche kleine Tumorzellcluster im Bereich der Tumorinvasionsfront) und Nachweis von Tumorgewebe im Resektionsrand.
Update 2. September 2024
Vorkommen:
Das kolorektale Karzinom ist der dritthäufigste maligne Tumor in der Schweiz und macht 10% aller Krebstodesfälle aus. Jedes Jahr erkranken in der Schweiz 3500 Patienten an einem Kolonkarzinom. Die Inzidenz ist wahrscheinlich aufgrund der vermehrten Früherfassung sinkend.
Risikofaktoren:
Risikofaktoren sind Alter, fett- und cholesterinreiche Ernährung, entzündliche Darmerkrankungen (vor allem Colitis ulcerosa), vorausgegangenes Kolonkarzinom, Ethylabusus >45g/Tag. Protektiv wirken Früchte, Gemüse, körperliche Aktivität und die Einnahme Nicht steroidaler Antirheumatika. Das Risiko für ein Kolonkarzinom beginnt ab einem Alter von 40 Jahren zu steigen. Bei Patienten <50 Jahre muss an die Möglichkeit einer genetischen Prädisposition gedacht werden. Eine genaue Familienanamnese ist deshalb wichtig. Bei 5-10% der Patienten besteht eine autosomal-dominant erbliche Veranlagung. Dazu gehören das HNPCC (hereditary non polypous colorectal cancer)-Syndrom = Lynch Syndrom, die familiäre adenomatöse Polyposis und verschiedene hamartomatöse Polyposen.
Screening:
Die Kosten für die Darmkrebs-Früherkennung wird bei Personen im Alter von 50 bis 69 Jahren von der Krankenkasse übernommen. Bezahlt werden alle zwei Jahre ein «Blut-im-Stuhl-Test» (FIT) oder alle zehn Jahre eine Kolonoskopie (https://www.screening-darm.ch/).
Symptomatik:
Kolonkarzinome können lange asymptomatisch sein. Am häufigsten klagen die Patienten über Bauchschmerzen, oder veränderte Stuhlgewohnheiten. Bei 30% sind okkulte Blutungen nachweisbar und 15% der Patienten haben eine mechanische Obstruktion. Rechtsseitige Tumoren sind meist grösser und tendieren zu Blutungen. Linksseitige Tumoren führen eher zu einer Obstruktion. Als Screeninguntersuchung zur Frühdiagnose wird die Durchführung einer Colonoskopie alle 10 Jahre ab dem 50. Altersjahr empfohlen. Bei hereditären Tumoren oder nach vorausgegangenem kolorektalem Karzinom sind häufigere Colonoskopien indiziert.
Therapie:
Die chirurgische Therapie des Kolonkarzinoms unter kurativer Zielsetzung besteht in der Resektion des tumortragenden Kolonsegmentes mit dem regionalen Lymphabflußgebiet, gegebenenfalls unter Mitentfernung adhärenter Organe. Die Resektion von (syn- und metachronen) Fernmetastasen (Leber, Lunge, u.a.) in kurativer Absicht ist indiziert, sofern eine vollständige Resektion möglich und das Risiko des Eingriffs vertretbar ist. Durch die Einführung zahlreicher neuer Medikamente konnte in den letzten Jahren das Überleben auch bei fortgeschrittenen Tumoren deutlich verbessert werden. Bei Patienten mit familiärer Polypose, multiplen Adenomen oder Karzinom bei Colitis ulcerosa wird eine totale Kolektomie vorgenommen.
Prognose:
Die Prognose hängt ab vom Tumorstadium, der molekularen Pathogenese des Tumors, der Vollständigkeit der Resektion (besonders wichtig beim tiefsitzenden Rektumkarzinom) und vom präoperativen CEA Wert.
Update 2. September 2024