PathoPic – image database / PathoPic ID 4986 - mässig differenziertes Adenokarzinom

de
Diagnose
mässig differenziertes Adenokarzinom
Diagnose Gruppe
maligner Tumor
Topographie
Kolon Sigma
Topographie Gruppe
Darm, Anus
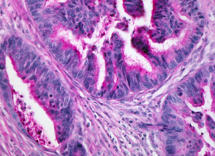
Beschreibung
In den Karzinomdrüsen stehen die vergrösserten und leicht abgerundeten Kerne sehr dicht beieinander. Das Epithel bildet pseudopapilläre Proliferationen ohne Stromastiel. Die Schleimbildung ist stark reduziert.
Klinik
Der Patient wird wegen neu aufgetretener Obstipation abgeklärt. Koloskopisch kommt im Kolon sigmoideum ein polypoider, das Lumen stenosierender stark karzinomverdächtiger Herd zur Darstellung. Die Biopsie zeigt atypische Drüsen mit desmoplastischer Stromareaktion stark verdächtig auf ein invasives Karzinom. Da an der oberflächlichen Biopsie ein invasives Wachstum nicht nachgewiesen werden kann, lässt sich das Karzinom jedoch nicht beweisen. Es wird eine Sigmaresektion durchgeführt.
Bilder Typ
Histologie
Vergrösserung
200
Alter
65
Geschlecht
männlich
Datum
Ersteintrag: 12.06.2002